Preclinical MRI of neurological diseases from morphological imaging to tissue property mapping

Visualizing pathological processes in the central nervous system with preclinical MRI

Magnetic resonance imaging (MRI) is a well-reputed imaging modality for clinically managing patients who suffer from neurological disorders. It enables the discovery of macro- and microstructural tissue markers, and therefore provides, together with neurological assessments, crucial guidance for making clinical decisions and predicting outcomes.

MRI is also an important means of researching patients with neurological disorders and developing new drugs. With the increasing availability of experimental and transgenic animal models of human neurological disorders, MRI has blossomed into a crucial instrument in preclinical neurological research.

Animal models serve as analogs for vascular, inflammatory, neurodegenerative, traumatic, ischemic, or neoplastic processes, and preclinical MRI scans have been utilized to define the effects of cellular changes on nervous tissue integrity. Furthermore, preclinical MRI supports the discovery and development of new drugs and helps validate clinical imaging findings, contributing to the increasing knowledge bank of human neurological conditions.

Specialized small animal MR tools have been constructed for imaging mice, rats, and other model organisms. Bruker's BioSpec Maxwell series combines the most recent advancements in preclinical MRI technology.

These Maxwell magnets, which do not need liquid cryogen filling, are available at 3 Tesla, 7 Tesla, and 9.4 Tesla field strengths (Fig. 1), all with 17 cm bore diameter, and are fitted with highly efficient gradient systems (gradient strength up to 900 mT/m, slew rate = 4200 T/m/s). The three field strengths meet various requirements, making possible translational studies at 3 Tesla and 7 Tesla, and taking advantage of higher signal-to-noise ratios at 9.4 Tesla.

BioSpec Maxwell. BioSpec Maxwell MRIs are compact liquid cryogen filling-free MRI instruments available at field strengths of 3 Tesla, 7 Tesla, and 9.4 Tesla

Figure 1. BioSpec Maxwell. BioSpec Maxwell MRIs are compact liquid cryogen filling-free MRI instruments available at field strengths of 3 Tesla, 7 Tesla, and 9.4 Tesla. Image Credit: Bruker BioSpin Group

BioSpec Maxwell portfolio of dedicated RF coils. A) With up to 82 mm inner diameter, the range of volume coils for BioSpec Maxwell instruments accommodates preclinical imaging species ranging from mice up to large rats. B) Dedicated brain and spine coils are optimized to ideally match anatomical regions of interest. C) For studies requiring highest resolution, the MRI CryoProbe provides a sensitivity boost

Figure 2. BioSpec Maxwell portfolio of dedicated RF coils. A) With up to 82 mm inner diameter, the range of volume coils for BioSpec Maxwell instruments accommodates preclinical imaging species ranging from mice up to large rats. B) Dedicated brain and spine coils are optimized to ideally match anatomical regions of interest. C) For studies requiring highest resolution, the MRI CryoProbe provides a sensitivity boost. Image Credit: Bruker BioSpin Group

BioSpec Maxwell tools can be used alongside volume and surface coils, which are well-suited for brain and spinal cord imaging alike (Fig. 2A, B). Cryogenic surface coils produce considerable increases in sensitivity that can be used to achieve higher spatial resolution or for shortening scan acquisition time(Fig. 2C).

Bruker’s ParaVision has a software framework for developing MRI methods and executing pre-optimized protocols for common animal species and use cases. The software suite comes alongside the planning and acquisition of scans, and its viewing, reconstruction, and analysis instruments produce high levels of information from the acquired imaging data.

MRI acquisition protocols like T1-weighted or T2-weighted imaging can produce rich anatomical contrast and produce data about the location and degree of injury in the central nervous system. These sequences can record morphological changes in the brain and spinal cord both acutely and over time.

Different acquisition protocols can be utilized to examine specific tissues in the brain and spinal cord. For instance, time-of-flight angiography can visualize large blood vessels and identify pathological aberrations in vasculature.

Recent studies have concentrated on developing sophisticated MRI approaches that deliver metabolic and functional data from the central nervous system. These readouts provide more specific metrics of central nervous system damage. As metabolic and functional alterations typically foreshadow changes in tissue morphology, they might also constitute more sensitive disease markers.

Monitoring disturbances in energy metabolism and neurotransmitter systems

Metabolic disturbances are a widespread property of neurodegenerative and inherited conditions and tumors and are a key focus of preclinical neurological studies. The chosen approach for imaging metabolism in the central nervous system is positron emission tomography (PET). PET tracers such as [18F]-fluorodeoxyglucose and [15O]-oxygen are utilized to quantify the regional cerebral metabolic rate of glucose and oxygen metabolism.

Bruker’s BioSpec Maxwell MRI tools can be used together with a PET inline or PET insert module for sequential or simultaneous PET/MR imaging and, therefore, utilized to examine metabolic processes in preclinical models (Fig. 3). Moreover, multiple MRI approaches also exist for assessing metabolic processes in the brain and spinal cord.

Multi-modal PET/MR imaging. PET inline and insert modules are available for sequential or simultaneous PET/MR imaging, enabling multi-parametric investigations

Figure 3. Multi-modal PET/MR imaging. PET inline and insert modules are available for sequential or simultaneous PET/MR imaging, enabling multi-parametric investigations. Image Credit: Bruker BioSpin Group

Magnetic resonance spectroscopy (MRS) uses well-reputed approaches for quantifying regional biochemistry in the central nervous system.1 The most commonly used methods are localized 1H MRS acquisition approaches that provide a range of neurotransmitters and metabolites in a given area.

Fig. 4A displays two localized 1H MR spectra of the mouse brain obtained with a BioSpec Maxwell 30/17 tool with a transceive cryogenic quadrature radiofrequency surface probe (MRI CryoProbe) and a BioSpec Maxwell 94/17 tool with a linearly polarized bird-cage resonator for transmission and phased-array receive-only surface coil in cross-coil mode.

The use of the MRI CryoProbe enables the visualization of small molecule resonances at 3 Tesla, but MRS at 9.4 Tesla delivers a 1H spectrum with an even more elevated spectral separation and signal-to-noise ratio. The gains result in a significantly higher quantity of detectable metabolites.

MRS imaging of numerous voxels enables the assessment of neurotransmitter and metabolite concentration variability in multiple areas. An example of chemical shift imaging of the mouse brain acquired via BioSpec Maxwell 94/17 is displayed in Fig. 4B.

Localized 1H MRS and MR spectroscopic imaging can examine regional variations in cell density, cell type, or metabolite concentrations, distinguishing healthy tissues from pathological ones. For instance, it can identify lesions of various underlying pathologies that appear similar when captured by structural MRI.

Using higher-field MRI tools, robust acquisition approaches, and advanced quantification approaches enables researchers to capture functional MRS data with high temporal resolution, therefore facilitating the assessment of pathology-related dynamic changes in neurotransmitters in specific areas.

X-nuclei (e.g. 2H, 17O and 31P) MRS imaging approaches also benefit from use of elevated field strengths regarding sensitivity. For instance, in deuterium (2H) metabolic imaging, 2H MRS imaging is carried out after the oral intake or intravenous infusion of 2H-labeled substrates and maps of cerebral glucose metabolic rates are generated.

Glucose metabolism dysfunction in neurodegenerative conditions is linked to disturbed tissue function and viability. In comparison, tumor growth is linked to elevated glucose metabolism. Additional quantitative and noninvasive assessments via X-nuclei MRI are used to assess cerebral metabolic rates of oxygen consumption and adenosine triphosphate production and intracellular nicotinamide adenine dinucleotide metabolites and redox state.

Monitoring levels of neurotransmitters and metabolites. A) Axial FLASH images of the mouse brain with volume of interest and in vivo 1H MRS spectra measured from the corresponding brain regions at 3 Tesla and at 9.4 Tesla. Localization sequence: PRESS, volumes 2 x 2 x 2 mm3. The following metabolites were assigned: alanine (Ala), aspartate (Asp), choline (Cho), creatine (Cr), γ-aminobutyric acid (GABA), glutamate (Glu), glutamine (Gln), myo-inositol (Ins), lactate (Lac), N-Acetylaspartate (NAA), phosphocreatine (PCr), and taurine (Tau). Data was acquired with a BioSpec Maxwell 30/17 equipped with a transceive cryogenic quadrature radiofrequency surface probe (MRI CryoProbe) and a BioSpec Maxwell 94/17 using a linearly polarized bird-cage resonator for transmission and a phased-array receive-only surface coil in cross-coil mode. Spectra were processed with TopSpin using the same parameters: line broadening 2, Fourier transform and phase correction. B) Chemical shift imaging of the mouse brain. The morphological T2-weighted TurboRARE image shows the position of the CSI grid with a voxel size of 1.25 x 1.25 x 2 mm3. The corresponding 1H MRS-spectra from the selected voxel are displayed beneath. Data was acquired with a BioSpec Maxwell 94/17 using a linearly polarized bird-cage resonator for transmission and a phased-array receive-only surface coil in cross-coil mode

Figure 4. Monitoring levels of neurotransmitters and metabolites. A) Axial FLASH images of the mouse brain with volume of interest and in vivo 1H MRS spectra measured from the corresponding brain regions at 3 Tesla and at 9.4 Tesla. Localization sequence: PRESS, volumes 2 x 2 x 2 mm3. The following metabolites were assigned: alanine (Ala), aspartate (Asp), choline (Cho), creatine (Cr), γ-aminobutyric acid (GABA), glutamate (Glu), glutamine (Gln), myo-inositol (Ins), lactate (Lac), N-Acetylaspartate (NAA), phosphocreatine (PCr), and taurine (Tau). Data was acquired with a BioSpec Maxwell 30/17 equipped with a transceive cryogenic quadrature radiofrequency surface probe (MRI CryoProbe) and a BioSpec Maxwell 94/17 using a linearly polarized bird-cage resonator for transmission and a phased-array receive-only surface coil in cross-coil mode. Spectra were processed with TopSpin using the same parameters: line broadening 2, Fourier transform and phase correction. B) Chemical shift imaging of the mouse brain. The morphological T2-weighted TurboRARE image shows the position of the CSI grid with a voxel size of 1.25 x 1.25 x 2 mm3. The corresponding 1H MRS-spectra from the selected voxel are displayed beneath. Data was acquired with a BioSpec Maxwell 94/17 using a linearly polarized bird-cage resonator for transmission and a phased-array receive-only surface coil in cross-coil mode. Image Credit: Bruker BioSpin Group

A different method of MRS is chemical exchange saturation transfer (CEST) MRI. In comparison to MRS, CEST MRI can identify biochemical molecules with more sensitivity and spatial resolution. In CEST MRI, a radiofrequency pulse is applied to a molecule, which can exchange its 1H protons with those of water at one or more of its resonant frequencies, to reach a saturation state.

This magnetic saturation is spontaneously transferred to water through chemical exchange of the excited metabolite protons with non-excited water protons. The ensuing reduction in water signal is detectable through standard MRI sequences and provides an indirect assessment of the molecule’s concentration.

Known endogenous CEST molecules usually consist of exchangeable groups of amide protons (protein and peptides), amine protons (e.g. glutamate and creatine), and hydroxyl protons (e.g. glycosaminoglycan, myo-inositol). They can be utilized to study differences in metabolite and neurotransmitter concentrations in neurological disorders.

Built upon metabolic signatures, CEST MRI can be used to grade brain tumors and evaluate tumor therapies. Furthermore, some exogenously administered compounds, including glucose and certain drugs, can be used as CEST agents, permitting the study of cerebral and tumor glucose metabolism and the monitoring of drug actions.

Assessing altered neurofluid patterns and metabolic waste removal

Potential toxic by-products are formulated during neuron metabolic activity. To preserve homeostasis, metabolic waste should be quickly cleared from the central nervous system. Key routes of clearing waste can be found in interstitial and cerebrospinal fluids that transport metabolic solutes.

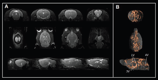
For instance, a true fast imaging with steady-state precession (TrueFISP) sequence gives contrast for cerebrospinal fluid spaces (Fig. 5A) and 3D renderings (Fig. 5B) and allows the assessment of ventricle anatomy and morphology, an important compartment for cerebrospinal fluid production and transport.

Disrupted ventricles are observed in multiple congenital neurological conditions and in response to neuronal injury or degeneration. Contrast-enhanced, flow and diffusion MRI approaches enable the monitoring of interstitial and cerebrospinal fluid flow through various extracellular compartments in the brain and spinal cord.

Multiple neurological conditions carry changes in the magnitude and direction of cerebrospinal fluid flow that are linked with disrupted waste removal and an accumulation of metabolites (e.g., lactate, ß-amyloid) alongside the trafficking of immune cells. Furthermore, assessing neurofluid flow patterns with MRI can help evaluate whether therapies can restore the normal passage of fluids.

Assessing brain ventricles. A) Axial, coronal, and sagittal T2-weighted TrueFISP images and B) corresponding renderings reveal the cerebrospinal fluid spaces in the rat brain. Rat brain data was acquired with a BioSpec Maxwell 94/17 using a volume coil for transmission and a phased-array coil for reception. Tissues were segmented and rendered using PMOD. LV = lateral ventricle; 3V = third ventricle; 4V = forth ventricle

Figure 5. Assessing brain ventricles. A) Axial, coronal, and sagittal T2-weighted TrueFISP images and B) corresponding renderings reveal the cerebrospinal fluid spaces in the rat brain. Rat brain data was acquired with a BioSpec Maxwell 94/17 using a volume coil for transmission and a phased-array coil for reception. Tissues were segmented and rendered using PMOD. LV = lateral ventricle; 3V = third ventricle; 4V = forth ventricle. Image Credit: Bruker BioSpin Group

Probing vascular dysfunction

The central nervous system is critically dependent on a continuous supply of oxygen and nutrients to function properly. Failure in substrate supply will disturb homeostasis, and cause tissue damage as well as loss of function. Vascular dysfunction (e.g. occlusion, hemorrhage, calcifications) leads to neurological deficits in cerebrovascular conditions and in neurodegenerative conditions, where vascular alterations can be seen in causal pathways.

Multiple preclinical MRI approaches exist that probe the functional characteristics of the vasculature.2 Quantitative data about cerebral blood flow (CBF) and cerebral blood volume can be attained with arterial spin labeling, dynamic susceptibility contrast MRI, vascular space occupancy, and other MRI approaches.

Fig. 6A shows an example of a regional CBF (rCBF) map of a mouse brain acquired from a pulsed arterial spin labeling approach. The map shows differences in rCBF in various anatomical areas of the brain (cortex = 125.7 ± 36.4 ml/100 g/min, thalamus = 204.1 ± 80.5 ml/100 g/min).

Merging perfusion approaches with pharmacological vasodilatory stimulus enables the assessment of vascular reactivity of vessels. Dynamic contrast-enhanced MRI can also be utilized to examine integrity changes in the blood-brain barrier, where an impairment is linked to an influx of intravascular compounds from the blood to the brain.

Vascular MRI approaches examine the impacts of aging, diet, and environment on vascular function and how this leads to cognitive impairment and tissue damage over time.

Vascular dysfunction can be researched in suitable disease models and in evaluating treatments for vascular conditions. Furthermore, MRI can provide data about the cardiovascular system (e.g., cardiac function, aortic stiffness), thus allowing the investigation of how vascular risk factors affect central nervous system function.

Mapping dysfunction of functional networks and neuronal plasticity

Functional magnetic resonance imaging (fMRI) is utilized to map fluctuations in neuronal activity in the brain and spinal cord. In fMRI, temporal and spatial alterations in the blood oxygen level-dependent (BOLD) signal are captured, typically with a T2*-weighted gradient echo planar imaging (EPI) sequence.

Fig. 6B displays an example of EPI images of the mouse brain obtained with a BioSpec Maxwell 94/17. In a task-based fMRI experiment, BOLD signals are assessed in response to a stimulus (sensory, thermal, acoustic, pain, or other) to distinguish areas that are functionally implicated in the performance of a specific task.

In resting-state functional MRI, BOLD data is gathered in task-free settings. The measured low-frequency fluctuations enable the evaluation of regional interactions, which are used to outline specific functional networks in the brain and spinal cord and/or to generate a functional connectome that enables a global assessment of both circuitry and circuit function.

Animals are typically anesthetized during measurement; however, fMRI in awake yet immobilized mice and rats is increasingly carried out, thus reducing the confounds of anesthesia and allowing the study of animals while engaged in behavioral tasks.

For pixelwise analysis of signal variations,=scanner performance stability is key. A superb time course stability of repeated EPI acquisitions could be shown with a BioSpec Maxwell 94/17 (Fig. 6C). Drift compensations are applied using extra navigator signals that are obtained and utilized to apply magnetic field corrections to the working frequency, attaining a temporal signal-to-noise ratio = 123).

Functional MRI of the brain. A) Pulsed arterial spin labeling of the mouse brain. Shown are a T2-weighted TurboRARE image for anatomical reference, and the rCBF map computed from the flow-sensitive alternating inversion recovery (FAIR)-EPI method. Data were acquired with a BioSpec Maxwell 94/17 using a linearly polarized bird-cage resonator for transmission and a phased-array receive-only surface coil in cross-coil mode under isoflurane anesthesia. B) Example of gradient echo EPI images of the mouse brain acquired with a BioSpec Maxwell 94/17 equipped with a 23 mm volume coil. Shown are five 0.6 mm thick axial slices with an in-plane resolution of 141 μm x 156 μm. C) The time course characteristics of EPI imaging for fMRI studies were assessed by acquiring 100 repetitions of gradient echo EPI over an acquisition time of 5 minutes with active drift compensation. Acquisition shows solid time course stability with a temporal signal-to-noise ratio = 123

Figure 6. Functional MRI of the brain. A) Pulsed arterial spin labeling of the mouse brain. Shown are a T2-weighted TurboRARE image for anatomical reference, and the rCBF map computed from the flow-sensitive alternating inversion recovery (FAIR)-EPI method. Data were acquired with a BioSpec Maxwell 94/17 using a linearly polarized bird-cage resonator for transmission and a phased-array receive-only surface coil in cross-coil mode under isoflurane anesthesia. B) Example of gradient echo EPI images of the mouse brain acquired with a BioSpec Maxwell 94/17 equipped with a 23 mm volume coil. Shown are five 0.6 mm thick axial slices with an in-plane resolution of 141 μm x 156 μm. C) The time course characteristics of EPI imaging for fMRI studies were assessed by acquiring 100 repetitions of gradient echo EPI over an acquisition time of 5 minutes with active drift compensation. Acquisition shows solid time course stability with a temporal signal-to-noise ratio = 123. Image Credit: Bruker BioSpin Group

Functional MRI is utilized to examine central nervous system dysfunction on the regional or network level as neurodegenerative diseases are developing and enables the study of plasticity and functional recovery of the brain and spinal cord following acute injury.

Furthermore, resting state functional MRI together with behavioral tests enables the construction of computational models that relate symptoms to changes in circuit function. A constraint of BOLD-fMRI is that it only constitutes an indirect metric of neuronal activity.

The BOLD contrast is regulated by neurovascular coupling that can be changed during development, aging, in disease conditions and by anesthesia. Therefore, an observed change in BOLD signal may not relate to altered neuronal activity if neurovascular coupling is compromised.

Nevertheless, a distinct advantage of preclinical fMRI research is that they can be coupled with pharmacological, chemo- and optogenetics or electrical neuromodulation methods and/or invasive read-outs (electrophysiology, optical imaging, etc.).

These methods can be utilized to detect the cellular mechanisms underlying the observed fMRI read-outs or to carry out mechanistic or interventional studies.3 Furthermore, attempts are made to track neuronal activity directly with fMRI, thus heightening the spatial and temporal precision.

Conclusion

To conclude, preclinical MRI and MRS approaches enable sensitive and specific assessments of metabolic and functional procedures in the central nervous system that are crucially and early involved in the development of neurological conditions. The approaches have become indispensable in preclinical neurological studies for understanding the mechanisms that underpin disease in both drug discovery and development, and for providing disease biomarkers.

References and further reading

  1. Lanz, B. et al. (2020b). Magnetic resonance spectroscopy in the rodent brain: Experts’ consensus recommendations, NMR in Biomedicine, 34(5). https://doi.org/10.1002/nbm.4325.
  2. Klohs, J. (2019b). An Integrated view on vascular dysfunction in Alzheimer’s Disease, Neurodegenerative Diseases, 19(3–4), pp. 109–127. https://doi.org/10.1159/000505625.
  3. Lee, J.H., Liu, Q. and Dadgar-Kiani, E. (2022b). Solving brain circuit function and dysfunction with computational modeling and optogenetic fMRI, Science, 378(6619), pp. 493–499. https://doi.org/10.1126/science.abq3868.

About Bruker BioSpin Group

The Bruker BioSpin Group designs, manufactures, and distributes advanced scientific instruments based on magnetic resonance and preclinical imaging technologies. These include our industry-leading NMR and EPR spectrometers, as well as imaging systems utilizing MRI, PET, SPECT, CT, Optical and MPI modalities. The Group also offers integrated software solutions and automation tools to support digital transformation across research and quality control environments.

Bruker BioSpin’s customers in academic, government, industrial, and pharmaceutical sectors rely on these technologies to gain detailed insights into molecular structure, dynamics, and interactions. Our solutions play a key role in structural biology, drug discovery, disease research, metabolomics, and advanced materials analysis. Recent investments in lab automation, optical imaging, and contract research services further strengthen our ability to support evolving customer needs and enable scientific innovation.


Sponsored Content Policy: News-Medical.net publishes articles and related content that may be derived from sources where we have existing commercial relationships, provided such content adds value to the core editorial ethos of News-Medical.Net which is to educate and inform site visitors interested in medical research, science, medical devices and treatments.

Last updated: Dec 16, 2025 at 6:05 AM

Citations

Please use one of the following formats to cite this article in your essay, paper or report:

  • APA

    Bruker BioSpin Group. (2025, December 16). Preclinical MRI of neurological diseases from morphological imaging to tissue property mapping. News-Medical. Retrieved on January 16, 2026 from https://appetitesciencelab.com/whitepaper/20250114/Preclinical-MRI-of-neurological-diseases-from-morphological-imaging-to-tissue-property-mapping.aspx.

  • MLA

    Bruker BioSpin Group. "Preclinical MRI of neurological diseases from morphological imaging to tissue property mapping". News-Medical. 16 January 2026. <https://appetitesciencelab.com/whitepaper/20250114/Preclinical-MRI-of-neurological-diseases-from-morphological-imaging-to-tissue-property-mapping.aspx>.

  • Chicago

    Bruker BioSpin Group. "Preclinical MRI of neurological diseases from morphological imaging to tissue property mapping". News-Medical. https://appetitesciencelab.com/whitepaper/20250114/Preclinical-MRI-of-neurological-diseases-from-morphological-imaging-to-tissue-property-mapping.aspx. (accessed January 16, 2026).

  • Harvard

    Bruker BioSpin Group. 2025. Preclinical MRI of neurological diseases from morphological imaging to tissue property mapping. News-Medical, viewed 16 January 2026, https://appetitesciencelab.com/whitepaper/20250114/Preclinical-MRI-of-neurological-diseases-from-morphological-imaging-to-tissue-property-mapping.aspx.

Other White Papers by this Supplier

While we only use edited and approved content for Azthena answers, it may on occasions provide incorrect responses. Please confirm any data provided with the related suppliers or authors. We do not provide medical advice, if you search for medical information you must always consult a medical professional before acting on any information provided.

Your questions, but not your email details will be shared with OpenAI and retained for 30 days in accordance with their privacy principles.

Please do not ask questions that use sensitive or confidential information.

Read the full Terms & Conditions.