Targeted therapy induces regression in colorectal liver metastases

In their recent publication1 in the esteemed peer-reviewed journal Nano Today, Marie Rütter and colleagues utilized the Newton 7.0 system as an essential component of their research.

Newton 7.0

Newton 7.0. Image Credit: Scintica Instrumentation Inc.

Cancer remains the second leading cause of death globally.2 Although advancements in diagnostics and treatments continue to be made, metastasis continues to be a major factor in cancer-related mortality. Colorectal cancer (CRC), one of the most prevalent cancers, typically metastasizes to the liver. Treating metastatic disease can be challenging, and new non-surgical treatment options are greatly needed.3

In this article, Marie Rütter et al. presents an approach targeting the upregulation of a cell adhesion molecule (CAM), which plays a role in a process that supports the growth of metastatic cancer cells and pro-inflammatory leukocytes.

Previous studies have identified a CAM termed E-selectin as a promising target. Its inhibition can potentially reduce the metastatic burden in lung and colon cancers with minimal side effects.

Building on this, the research team showed that P-Esbp-Dox, a particular anti-cancer drug (Doxirubicin, Dox) bound to an agent targeting E-selectin, could lengthen the survival time of mice with lung cancer and treat lung metastases. They discovered the targeting agent (P-Esbp) also showed promising effects without the drug.

The researchers extended their findings to the treatment of CRC and liver metastases. They used an aggressive mouse model of CRC liver metastasis induced by injecting luciferin-expressing CRC cells (CT26-GFP/Luc) into the spleen, leading to the formation of liver tumors.

The results of this study can be divided into three main experimental approaches: treatment of liver metastases with P-Esbp-Dox, preventative treatment with P-Esbp, and simultaneous treatment with both P-Esbp-Dox and P-Esbp.

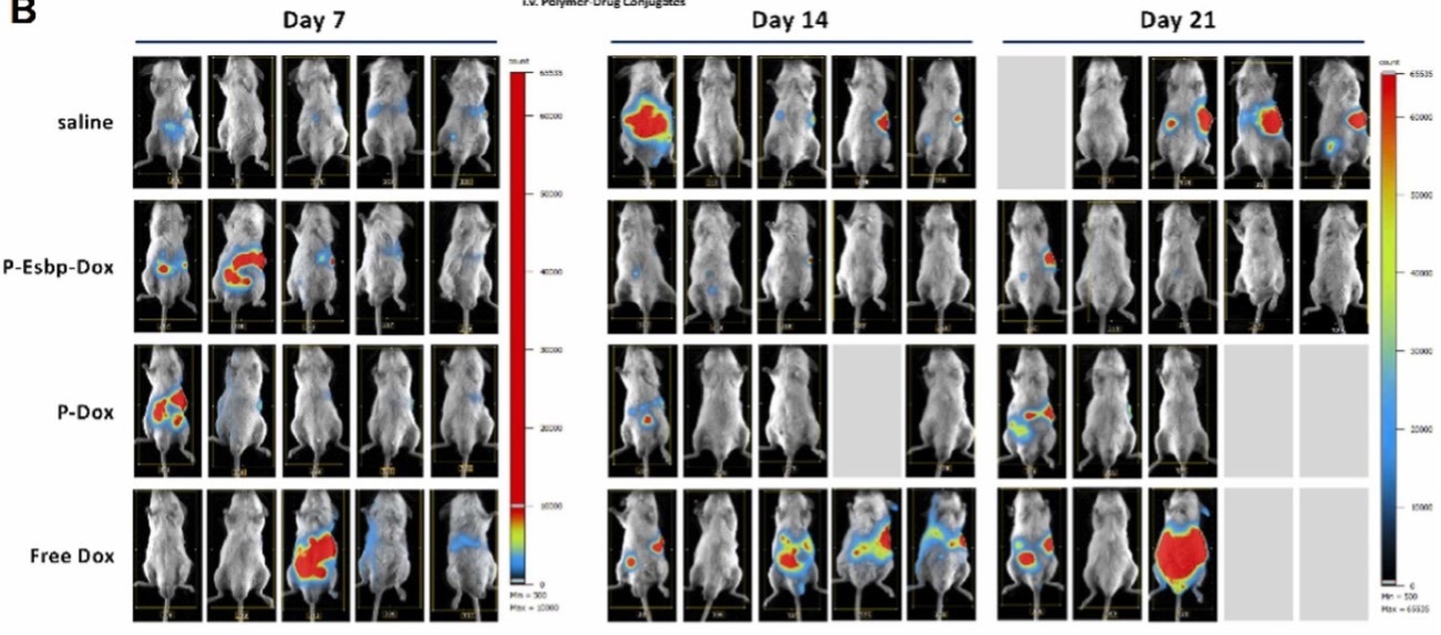
In the first experiment with P-Esbp-Dox, mice received a single treatment of the copolymer. Control groups received a polymer containing Dox without targeting E-selectin (P-Dox), free Dox, or saline.

Treatment success was assessed using the Newton 7.0 system for bioluminescence imaging to measure each mouse’s cancer burden. Ten days after treatment, P-Esbp-Dox and P-Dox demonstrated promising results (Figure 1), but the P-Dox group experienced relapse four days later.

By the end of this study, the P-Esbp-Dox group had a median survival rate of 63 days, compared to 36.5 days for the P-Dox group, 30 days for the free Dox group, and 35 days for the saline control group.

Inhibition of metastatic growth of CRC liver metastases by P-Esbp-Dox treatment: In vivo images of luminescent CT26-GFP/Luc metastases, the same animal occupies the same grid location on each day, acquisition conditions are constant for all images, range

Figure 1. Inhibition of metastatic growth of CRC liver metastases by P-Esbp-Dox treatment: In vivo images of luminescent CT26-GFP/Luc metastases, the same animal occupies the same grid location on each day, acquisition conditions are constant for all images, range.Image Credit: Scintica Instrumentation Inc.

In the second P-Esbp experiment, P-Esbp was administered before injection of CT26 CRC cells and was also tested against B16-F10 melanoma cells (which typically cause lung metastases). Although P-Esbp was effective against the B16-10 cells, it showed limited efficacy against CT26 cells, and the team could not draw definitive conclusions in this case.

The third experiment involved giving mice a one-time dose of P-Esbp-Dox, followed by repeated doses of P-Esbp. As observed in the first experiment, P-Esbp-Dox alone resulted in the longest median survival time (77 days), while combining P-Esbp-Dox with P-Esbp reduced survival time to approximately 33 days, which was similar to the saline-control group (26 days).

This suggests that P-Esbp alone blocks E-selectin, which could contribute to the reduced effectiveness of P-Esbp-Dox, which targets E-selectin to deliver Dox. The team also evaluated the tumor microenvironment to determine why P-Esbp treatment was not always beneficial.

This study highlights E-selectin as a suitable, safe, and viable target for drug delivery. While much more research is still needed to fully comprehend the interactions of drugs targeting E-selectin, this work represents another step forward in the quest for curing cancer.

The authors employed the Newton 7.0 system throughout this study to monitor cancer cell growth and metastasis. This optical imaging method enables fewer mice to generate better data, as the same mice can be imaged longitudinally rather than sacrificing groups at each time point for immunohistochemical analysis.

References and further reading:

  1. Rütter, M. et al. (2024). E-selectin-targeted polymer-doxorubicin conjugate induces regression of established colorectal liver metastases and improves mice survival. Nano Today, 55, p. 102182. https://doi.org/10.1016/j.nantod.2024.102182.
  2. Siegel, R.L., et al. (2023). Cancer statistics, 2023. CA: A Cancer Journal for Clinicians, [online] 73(1), pp.17–48. https://doi.org/10.3322/caac.21763.
  3. Zampino, M.G., et al. (2016). Treatments for colorectal liver metastases: A new focus on a familiar concept. Critical Reviews in Oncology/Hematology, 108, pp.154–163. https://doi.org/10.1016/j.critrevonc.2016.11.005.

About Scintica Instrumentation Inc.

Scintica Instrumentation Inc., a high value distributor of scientific medical equipment, was created as a joint venture between two companies, Indus Instruments and ONS Projects Inc., both with long standing experience in the medical device instrumentation field. Indus Instruments is an engineering and manufacturing company with excellence in designing and producing sophisticated products for both medical and other high-tech clients in aerospace, chemical and oil and gas industries. ONS Projects Inc. is a life science investment and marketing company built on the foundation of two other successful manufacturing companies in the laboratory instrumentation field,

The principals of the two companies each have more than 25 years of experience of manufacturing, selling and supporting scientists in their research around the world. Our team consists of scientists, applications experts, engineers and sales professionals from a cross section of backgrounds, who excel at simplifying transactions and ensuring that scientists have the best equipment for achieving research excellence.

At Scintica Instrumentation, we distribute for selected manufacturers from all over the world and represent them in multiple countries including the United States, Canada, and Europe, as well as in Asia through a network of authorized sub-distributors.


Sponsored Content Policy: News-Medical.net publishes articles and related content that may be derived from sources where we have existing commercial relationships, provided such content adds value to the core editorial ethos of News-Medical.Net which is to educate and inform site visitors interested in medical research, science, medical devices and treatments.

Last updated: Nov 29, 2024 at 9:13 AM

Citations

Please use one of the following formats to cite this article in your essay, paper or report:

  • APA

    Scintica Instrumentation Inc.. (2024, November 29). Targeted therapy induces regression in colorectal liver metastases. News-Medical. Retrieved on January 17, 2026 from https://appetitesciencelab.com/whitepaper/20241129/Targeted-therapy-induces-regression-in-colorectal-liver-metastases.aspx.

  • MLA

    Scintica Instrumentation Inc.. "Targeted therapy induces regression in colorectal liver metastases". News-Medical. 17 January 2026. <https://appetitesciencelab.com/whitepaper/20241129/Targeted-therapy-induces-regression-in-colorectal-liver-metastases.aspx>.

  • Chicago

    Scintica Instrumentation Inc.. "Targeted therapy induces regression in colorectal liver metastases". News-Medical. https://appetitesciencelab.com/whitepaper/20241129/Targeted-therapy-induces-regression-in-colorectal-liver-metastases.aspx. (accessed January 17, 2026).

  • Harvard

    Scintica Instrumentation Inc.. 2024. Targeted therapy induces regression in colorectal liver metastases. News-Medical, viewed 17 January 2026, https://appetitesciencelab.com/whitepaper/20241129/Targeted-therapy-induces-regression-in-colorectal-liver-metastases.aspx.

Other White Papers by this Supplier

While we only use edited and approved content for Azthena answers, it may on occasions provide incorrect responses. Please confirm any data provided with the related suppliers or authors. We do not provide medical advice, if you search for medical information you must always consult a medical professional before acting on any information provided.

Your questions, but not your email details will be shared with OpenAI and retained for 30 days in accordance with their privacy principles.

Please do not ask questions that use sensitive or confidential information.

Read the full Terms & Conditions.