Understanding the relationship between SARS-CoV-2 infection and periodontitis

In a recent review published in the journal International Journal of Molecular Sciences, researchers reviewed existing data on the association between periodontitis and coronavirus disease 2019 (COVID-19).

Periodontitis refers to chronic inflammation and deterioration of periodontal tissues associated with plaque and calculus formation, resulting in reduced masticatory efficacy, altered speech, and reduced quality of life. Periodontal disease has been shown epidemiologically to increase the risk of chronic noncommunicable diseases such as coronary heart disease and cancer.

Periodontitis can reportedly aggravate severe acute respiratory syndrome coronavirus 2 (SARS-CoV-2) infections, and COVID-19-associated hyperinflammation could worsen periodontal illness. Therefore, improving understanding of SARS-CoV-2 infections and periodontitis immunopathogenesis may aid in developing therapeutic interventions that may improve the outcomes of both conditions.

In the present review, researchers described the similarities in the immunopathogenesis of COVID-19 and periodontitis and explored the association between the two conditions.

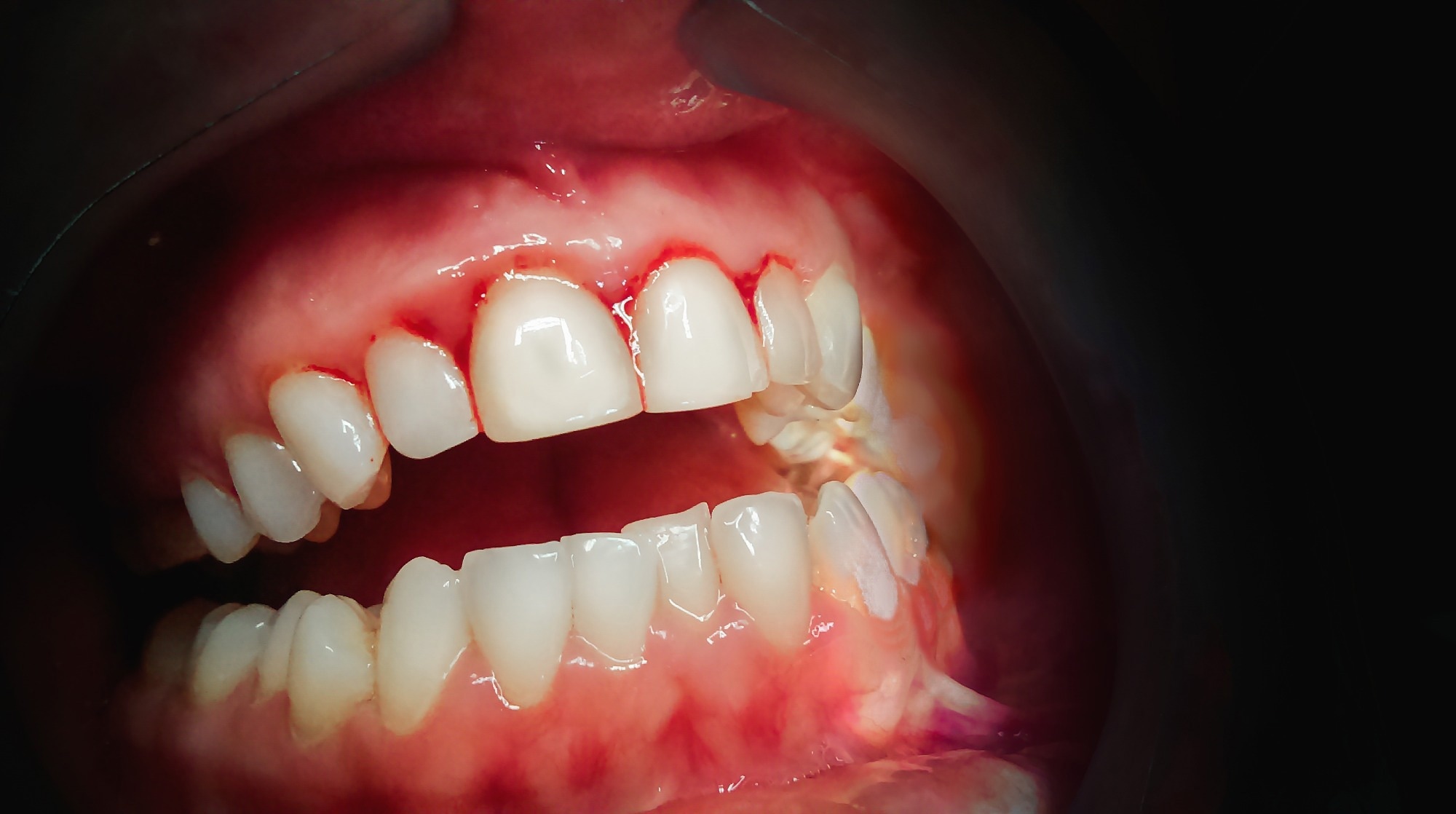
Study: Periodontitis and COVID-19: Immunological Characteristics, Related Pathways, and Association. Image Credit: Algirdas Gelazius / ShutterstockStudy: Periodontitis and COVID-19: Immunological Characteristics, Related Pathways, and Association. Image Credit: Algirdas Gelazius / Shutterstock

Similarities in COVID-19 and periodontitis immunopathology

Periodontal pathogen components such as peptidoglycans and lipopolysaccharides activate pattern recognition receptors (PRRs), including toll-like receptors (TLRs), and subsequently, the myeloid differentiation primary response 88 (MyD88)/nuclear factor kappa B (NF-κB) pathway is activated. Likewise, SARS-CoV-2 activates the nuclear factor-kappa B through the angiotensin II receptor type 1 (AT1R)/NF-κB and TLRs/MyD88/NF-κB pathways. Nuclear factor-kappa B activation results in elevated pro-inflammatory chemokines, adhesion molecules, and cytokines levels.

Periodontal peptidoglycans and lipopolysaccharides activate toll-like receptor 2/nuclear factor kappa B and toll-like receptor 4/nuclear factor kappa B pathways, respectively. SARS-CoV-2 binds to the angiotensin-converting enzyme 2 (ACE2) receptor or transmembrane serine protease 2 (TMPRSS2) to enter into the host cells and activate the toll-like receptor 3 and mitochondrial antiviral-signaling protein (MAVS).

Subsequently, nuclear factor-kappa B signaling pathways and the NLR family pyrin domain containing 3 (NLRP3) inflammasomes are activated. Caspase 1 gets activated during inflammasome generation, and cleaves pro-interleukin (IL)-1β, pro-interleukin-18, and gasdermin D (GSDMD). The subsequent secretion of interleukin-1β, interleukin-18, and gasdermin D induce pyroptosis and inflammation.

Imterleukin-6 signaling pathways are activated in periodontitis and SARS-CoV-2 infections. Interleukin-6 signaling in COVID-19 and periodontitis may be of the classical type, trans-signaling type, or cluster type. Periodontitis-causing pathogenic organisms induce interleukin-6- and interleukin-23-dependent pathological helper T 17 (TH17) lymphocyte accumulation, driving alveolar bone resorption and periodontitis.

SARS-CoV-2 induces interleukin-6 interleukin-23-dependent pathological TH17 lymphocyte expression, a few of which persist in pulmonary tissues by converting into tissue-resident memory T 17 (TRM17) lymphocytes. The TH17 and TRM17 lymphocytes induce hyperinflammation in response to the elevated cytokine expression with the release of interleukin-17.

Relationship between SARS-CoV-2 infections and periodontitis

SARS-CoV-2 might directly invade and infect the oral cavity, resulting in widespread clinical presentations, including necrotic periodontal diseases. Chronic inflammation resulting from periodontitis could enhance COVID-19 susceptibility, with probable aggregation of SARS-CoV-2 infections and generalized inflammation.

Periodontitis and COVID-19 share comorbidities such as hypertension, obesity, diabetes, cardiovascular diseases, chronic obstructive pulmonary disease (COPD), chronic renal disease, chronic hepatic disease, cancer, immunologic disease, human immunodeficiency virus (HIV) infections, and atherosclerotic diseases. Other factors that may increase the risk of periodontitis and SARS-CoV-2 infections include being male, smoking habits, and excessive alcohol intake.

Periodontal microbes facilitate COVID-19 by increasing ACE2 expression and the secretion of proteases that increase SARS-CoV-2 virulence. Periodontal microbes may invade the lower airways through aspiration from the oral cavity. Studies have reported that the upper airway and oral symbiotic bacterial counts are elevated in the pulmonary tissues of SARS-CoV-2-positive individuals. Pro-inflammatory chemokines and cytokines are expressed in the lower airways in response to periodontal disease, which may enhance COVID-19 severity.

The severity of periodontal disease has shown direct correlations with the severity of pulmonary impairments. On the other hand, severe COVID-19 has been associated with unfavorable periodontitis. In addition, periodontal disease may induce generalized inflammation and aggravate COVID-19-associated hyperinflammation.

Necrotic periodontal disease may be observed in SARS-CoV-2-infected individuals, due to underlying systemic inflammation, given necrotizing ulcerative gingivitis is usually observed among HIV-positive immunosuppressed individuals. Further, COVID-19 has increased psychological stress and deteriorated the mental health of the affected individuals, and stress is an established risk factor for periodontal disease. Stress-associated cortisol increase leads to immunological dysfunction, including upregulated expression of interleukin-17, the driver of inflammation-associated loss of alveolar bone.

Conclusion

Based on the review findings, COVID-19 and periodontitis may have a bidirectional relationship. Good periodontal care may aid in COVID-19 prevention, lower systemic inflammation, and therefore improve COVID-19 outcomes. Common risk factors such as smoking and excessive alcohol consumption can be targeted to improve periodontal health and COVID-19 status. In addition, stress and immunological modulation during COVID-19 could improve periodontal health.

Journal reference:
  • Qi, M.; Sun, W.; Wang, K.; Li, W.; Lin, J.; Gong, J.; Wang, L. Periodontitis and COVID-19: Immunological Characteristics, Related Pathways, and Association. Int. J. Mol. Sci. 2023, 24, 3012. https://doi.org/10.3390/ ijms24033012, DOI: https://doi.org/10.3390/ ijms24033012, https://www.mdpi.com/1422-0067/24/3/3012
Pooja Toshniwal Paharia

Written by

Pooja Toshniwal Paharia

Pooja Toshniwal Paharia is an oral and maxillofacial physician and radiologist based in Pune, India. Her academic background is in Oral Medicine and Radiology. She has extensive experience in research and evidence-based clinical-radiological diagnosis and management of oral lesions and conditions and associated maxillofacial disorders.

Citations

Please use one of the following formats to cite this article in your essay, paper or report:

  • APA

    Toshniwal Paharia, Pooja Toshniwal Paharia. (2023, February 07). Understanding the relationship between SARS-CoV-2 infection and periodontitis. News-Medical. Retrieved on January 18, 2026 from https://appetitesciencelab.com/news/20230207/Understanding-the-relationship-between-SARS-CoV-2-infection-and-periodontitis.aspx.

  • MLA

    Toshniwal Paharia, Pooja Toshniwal Paharia. "Understanding the relationship between SARS-CoV-2 infection and periodontitis". News-Medical. 18 January 2026. <https://appetitesciencelab.com/news/20230207/Understanding-the-relationship-between-SARS-CoV-2-infection-and-periodontitis.aspx>.

  • Chicago

    Toshniwal Paharia, Pooja Toshniwal Paharia. "Understanding the relationship between SARS-CoV-2 infection and periodontitis". News-Medical. https://appetitesciencelab.com/news/20230207/Understanding-the-relationship-between-SARS-CoV-2-infection-and-periodontitis.aspx. (accessed January 18, 2026).

  • Harvard

    Toshniwal Paharia, Pooja Toshniwal Paharia. 2023. Understanding the relationship between SARS-CoV-2 infection and periodontitis. News-Medical, viewed 18 January 2026, https://appetitesciencelab.com/news/20230207/Understanding-the-relationship-between-SARS-CoV-2-infection-and-periodontitis.aspx.

Comments

The opinions expressed here are the views of the writer and do not necessarily reflect the views and opinions of News Medical.
Post a new comment
Post

Sign in to keep reading

We're committed to providing free access to quality science. By registering and providing insight into your preferences you're joining a community of over 1m science interested individuals and help us to provide you with insightful content whilst keeping our service free.

or

While we only use edited and approved content for Azthena answers, it may on occasions provide incorrect responses. Please confirm any data provided with the related suppliers or authors. We do not provide medical advice, if you search for medical information you must always consult a medical professional before acting on any information provided.

Your questions, but not your email details will be shared with OpenAI and retained for 30 days in accordance with their privacy principles.

Please do not ask questions that use sensitive or confidential information.

Read the full Terms & Conditions.

You might also like...
COVID-19 immunity stays specific and barely boosts protection against common cold coronaviruses