Insight into COVID-19 brain complications

Thought LeadersProfessor Scott H. FaroProfessor of Radiology and NeurologyThomas Jefferson University

In this interview, we speak to Professor Scott H. Faro about his latest research that looked into COVID-19 and its complications within the central nervous system.

Please could you introduce yourself, tell us about your background within neurology and radiology, and what inspired your latest research into COVID-19?

I am a professor of Radiology and Neurology and director of Neuroradiology and Head and Neck Radiology at Thomas Jefferson University in Philadelphia, PA USA. As a neuroradiologist, we were seeing significant complications of the central nervous system (CNS) in patients who were admitted to the hospital with COVID-19.

I wanted to investigate, in a large patient series, the full extent of CNS complications and an accurate incidence of these non-pulmonary complications. I used my large network of scientific colleagues in the USA and in Europe to investigate this important topic.

Since the start of the COVID-19 pandemic, much research has looked into the pulmonary problems related to COVID-19 but there has been little research into other organs that may be affected. Why is this and why is it important to investigate COVID-19’s impact on all organs of the body?

The pulmonary complications are well understood however COVID-19 can affect the entire body including the brain. Some of these brain complications cause immediate and severe brain complications such as strokes and bleeding in the brain.

SARS-CoV-2

Image Credit: Vitalij Terescsuk/Shutterstock.com

Previous literature into central nervous system (CNS) complications only focused on a small number of hospitalized COVID-19 patients. However, your new study is the largest multi-international study to date that focuses on this. What is the importance of having a large patient database and how does this affect the accuracy of your conclusions?

It is important to investigate a large database so the full extent of the disease complications can be understood and an accurate incidence of these complications can be determined.

Can you describe how you carried out your latest research into COVID-19 and brain complications? What did you discover?

We investigated almost 40,000 patients that were admitted to a hospital for COVID-19.

Approximately 10 percent of these patients had either a CT or MRI imaging study of their brain due to a possible neurologic problem.  In this group of patients that were imaged, approximately 10 percent were found to have significant brain complications.

Overall approximately 1.2% of hospitalized COVID-19 patients developed significant CNS complications.

What were some of the most common CNS complications that you discovered?

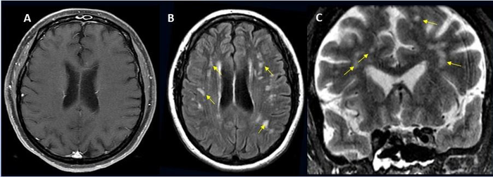
The most common brain complications were: strokes and brain bleeding, followed by brain inflammation, sinus venous thrombosis, acute demyelinating encephalomyelitis, posterior reversible encephalopathy syndrome, and vasculitis.

Study Results

Image Credit: Radiological Society of North America and Scott H. Faro, M.D.

Your research all showed the similarities and differences between patients in the USA and Europe. Please could you describe some of these similarities and differences and why these might have been observed?

  • CVA was more common in the USA (74%) versus Europe (40%). This may be in part due to a significant difference (p=0.02) in the incidence of comorbidities (cardiac, diabetes, chronic renal failure) in the American population (31.6%) compared to our European population (21.3%)
  • In our study bleeding in the brain, Encephalitis, and ADEM were more common in Europe.
  • The prior literature investigated a significantly lower number of hospitalized Covid-19 patients which limited the determination of accurate incidences of CNS complications
  • In our cohort of ~ 40K - The overall incidence of CVA in the total population was lower c/w the literature (0.7% v 1%)
  • Overall approximately 1.2% of hospitalized Covid-19 patients develop significant CNS complications. That means that a little more than one out of every 100 patients that are admitted to a hospital for COVID-19 will have a significant abnormality in their brain.

How will your research help to further improve our understanding of COVID-19’s complications on the body?

Being aware of non-pulmonary complications is very important so a holistic approach to patients care can be performed. Additionally, many of the brain complications are life-threatening and need special treatment.

Clinicians should have a low threshold to order brain imaging in COVID-19 patients if there is any question of a possible neurological disorder.

Do you believe that with continued research into COVID-19, we will discover more complications concerning other organs also?

I am sure more complications will be discovered as COVID-19 is a devastating viral disease that affects the entire body.

What are the next steps for you and your research?

To further understand the differences between the incidences of CNS complications between regions in the world with respect to specific strains of COVID-19 viruses, issues related to healthcare access and regional ordering of advanced brain imaging, and finally to investigate the complications of the spine related to COVID-19.

Where can readers find more information?

About Professor Scott H. Faro

I am currently a professor of radiology and neurology and director of Neuroradiology and Head and Neck Radiology at Thomas Jefferson University. The focus of my academic medical carrier has been to advance translational neuroimaging research that can create new imaging techniques that then can be used in the clinics and to teach these state-of-the-art imaging procedures to my radiology residents, neuroradiology fellows, and my colleagues. Professor Scott H. Faro

I am a founding member and past president of the American Society of Functional Neuroradiology and senior editor of several textbooks including a comprehensive book:   Functional Neuroradiology: Principles and Clinical Applications, soon to be in the second edition.

Emily Henderson

Written by

Emily Henderson

During her time at AZoNetwork, Emily has interviewed over 300 leading experts in all areas of science and healthcare including the World Health Organization and the United Nations. She loves being at the forefront of exciting new research and sharing science stories with thought leaders all over the world.

Citations

Please use one of the following formats to cite this article in your essay, paper or report:

  • APA

    Henderson, Emily. (2021, December 14). Insight into COVID-19 brain complications. News-Medical. Retrieved on January 17, 2026 from https://appetitesciencelab.com/news/20211221/Insight-into-COVID-19-brain-complications.aspx.

  • MLA

    Henderson, Emily. "Insight into COVID-19 brain complications". News-Medical. 17 January 2026. <https://appetitesciencelab.com/news/20211221/Insight-into-COVID-19-brain-complications.aspx>.

  • Chicago

    Henderson, Emily. "Insight into COVID-19 brain complications". News-Medical. https://appetitesciencelab.com/news/20211221/Insight-into-COVID-19-brain-complications.aspx. (accessed January 17, 2026).

  • Harvard

    Henderson, Emily. 2021. Insight into COVID-19 brain complications. News-Medical, viewed 17 January 2026, https://appetitesciencelab.com/news/20211221/Insight-into-COVID-19-brain-complications.aspx.

Comments

The opinions expressed here are the views of the writer and do not necessarily reflect the views and opinions of News Medical.
Post a new comment
Post

Sign in to keep reading

We're committed to providing free access to quality science. By registering and providing insight into your preferences you're joining a community of over 1m science interested individuals and help us to provide you with insightful content whilst keeping our service free.

or

While we only use edited and approved content for Azthena answers, it may on occasions provide incorrect responses. Please confirm any data provided with the related suppliers or authors. We do not provide medical advice, if you search for medical information you must always consult a medical professional before acting on any information provided.

Your questions, but not your email details will be shared with OpenAI and retained for 30 days in accordance with their privacy principles.

Please do not ask questions that use sensitive or confidential information.

Read the full Terms & Conditions.

You might also like...
The gut is not just digestive and new evidence shows it actively controls brain function