A test which uses artificial intelligence (AI) to measure proteins present in some patients with advanced bowel cancer could hold the key to more targeted treatment, according to research published today.
Image Credit: University of Leeds
A team at the University of Leeds collaborated with researchers at Roche Diagnostics to develop the technique, which will help doctors and patients to decide on the best treatment options.
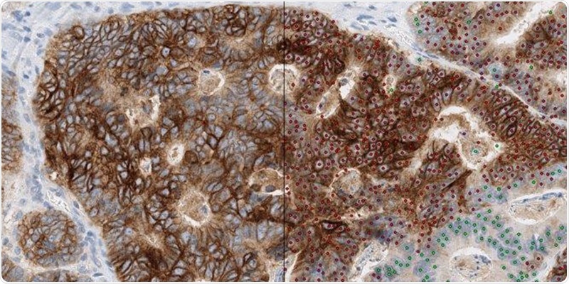
They used samples from a previous trial funded by Cancer Research UK to look at the levels of two proteins, known as AREG and EREG, which are produced by some colorectal cancers.
Algorithms driven by AI enabled the researchers to show that patients with higher levels of these proteins received significant benefit from a treatment which inhibits a different protein involved in cancer cell growth, known as EGFR. Of equal importance, patients with low levels of the proteins did not benefit from the treatment.
Currently, anti-EGFR treatments are only given to patients with advanced, incurable bowel cancers. The researchers hope their methodology could be used in the future to identify patients in the earlier stages of illness who could also benefit from the drugs.
As more treatment options become available for advanced colorectal cancer, it is becoming increasingly difficult for patients and their doctors to choose the treatment that’s right for them. This test will help patients navigate this decision-making process more easily.”
Christopher Williams, Report's Lead Author, Leeds University’s Division of Pathology and Data Analytics
Today’s publication of the findings in the journal Clinical Cancer Research is timely as it coincides with Bowel Cancer Awareness Month in the UK. The study was funded by Innovate UK and Roche Diagnostics as well as Yorkshire Cancer Research. It was part of a program of work in this field being conducted by the National Pathology Imaging Co-operative.
As increasing numbers of complex tests are developed to target the right cancer treatments to the right patients, developing streamlined methods for delivering test results will be essential to improve cancer care.
By using artificial intelligence to semi-automate the test process, we anticipate it may be easier for results to be delivered to patients faster to better influence treatment decisions.”
Kandavel Shanmugam, Report’s Senior Author, Senior Director of Medical Innovation, Roche Diagnostics
Roche is a global pioneer in diagnostics and pharmaceuticals focused on advancing science to improve people’s lives.
Source:
Journal reference:
Williams, C.J.M., et al. (2021) Artificial intelligence-assisted amphiregulin and epiregulin immunohistochemistry predicts panitumumab benefit in RAS wild-type metastatic colorectal cancer. Clinical Cancer Research. doi.org/10.1158/1078-0432.CCR-21-0120.