Scientists produce active antigen in bacteria to help combat SARS-CoV-2

Caused by the severe acute respiratory syndrome coronavirus 2 (SARS-CoV-2), the coronavirus disease 2019 (COVID-19) pandemic has placed a significant burden on healthcare systems across the globe. To date, the virus has infected over 105.94 million people and led to over 2.3 million deaths worldwide.

Skyrocketing cases brought about by the second and successive waves have nearly overwhelmed healthcare systems in places like the U.S. and the U.K., underscoring the need for rapid diagnosis and treatment. Though vaccines are already being rolled out in many countries, global population immunity remains a long way off.

Researchers at the University of Nebraska Medical Center have developed a bacterial strategy for the expression and purification of the SARS-CoV-2 spike protein receptor-binding domain (RBD).

This news article was a review of a preliminary scientific report that had not undergone peer-review at the time of publication. Since its initial publication, the scientific report has now been peer reviewed and accepted for publication in a Scientific Journal. Links to the preliminary and peer-reviewed reports are available in the Sources section at the bottom of this article. View Sources

The study, published on the pre-print medRxiv* server, showed that it is possible to rapidly and inexpensively produce functional and active antigens in bacteria to track and bind with the angiotensin-converting enzyme 2 (ACE2) receptor as well as antibodies in COVID-19 patient sera.

SARS-CoV-2 receptor-binding domain (RBD)

The SARS-CoV-2 virion contains four structural proteins – spike (S), envelope (E), membrane (M), and the nucleocapsid (N). The S protein works by protecting and covering the surface of the SARS-CoV-2 while allowing the virus to evade the host immune system and enter human cells. Attachment of the virus to the receptor relies on the receptor-binding domain (RBD), which is also responsible for inducing the production of neutralizing antibodies in the body.

Therefore, the RBD has been a highly-investigated target for vaccine and drug development. The interaction of the RBD and ACE2 receptor is an important event before viral infection. Past studies have shown that the RBD binds with the ACE2 receptor low nanomolar affinity, highlighting the key regions of the RBD that are responsible for ACE2 binding.

The RBD contains extensive β-sheets with an extended insertion called receptor-binding motif (RBM), which consists of the residues that make contact with ACE2. Apart from the β-sheets, the RBD also contains ten cysteines, which can stabilize the overall structure by forming five disulfide bonds.

The team noted that not all of these bonds are consecutively formed, while some need editing by reduction and reoxidation to generate the correct bonds, which can pose a complicated folding problem in the bacterial cytoplasm.

Production of recumbent proteins in bacteria

Attempts to obtain a recombinant protein using prokaryotic expression systems can be a fast and rewarding procedure, but it can be challenging. In most cases, the production of heterologous proteins in Escherichia coli strains has remained an experimental method.

Though the use of this bacteria is beneficial in terms of ease of production, cost-efficacy, and rapid growth, it can be a daunting task. It is vital to maintain the correct disulfide bonds for structural as well as functional stability, which can be problematic when expressing proteins of interest in the cytoplasm of E. coli.

The Ruddock lab developed the CyDisCo (cytoplasmic disulfide bond formation in E. coli) system that can produce active disulfide-bonded proteins in the cytoplasm of the bacteria without deleting reduction systems. It expresses the sulfhydryl oxidase Evr1p.

During protein folding, a new enzyme called protein disulfide isomerase (PDI) is added to edit disulfide bonds. The PDI can differentiate between properly folded proteins from misfolded ones, and correct disulfide bonds via cleave and formation cycles. Hence, properly and correctly folded proteins with disulfide bonds can be produced in the E. coli cytoplasm.

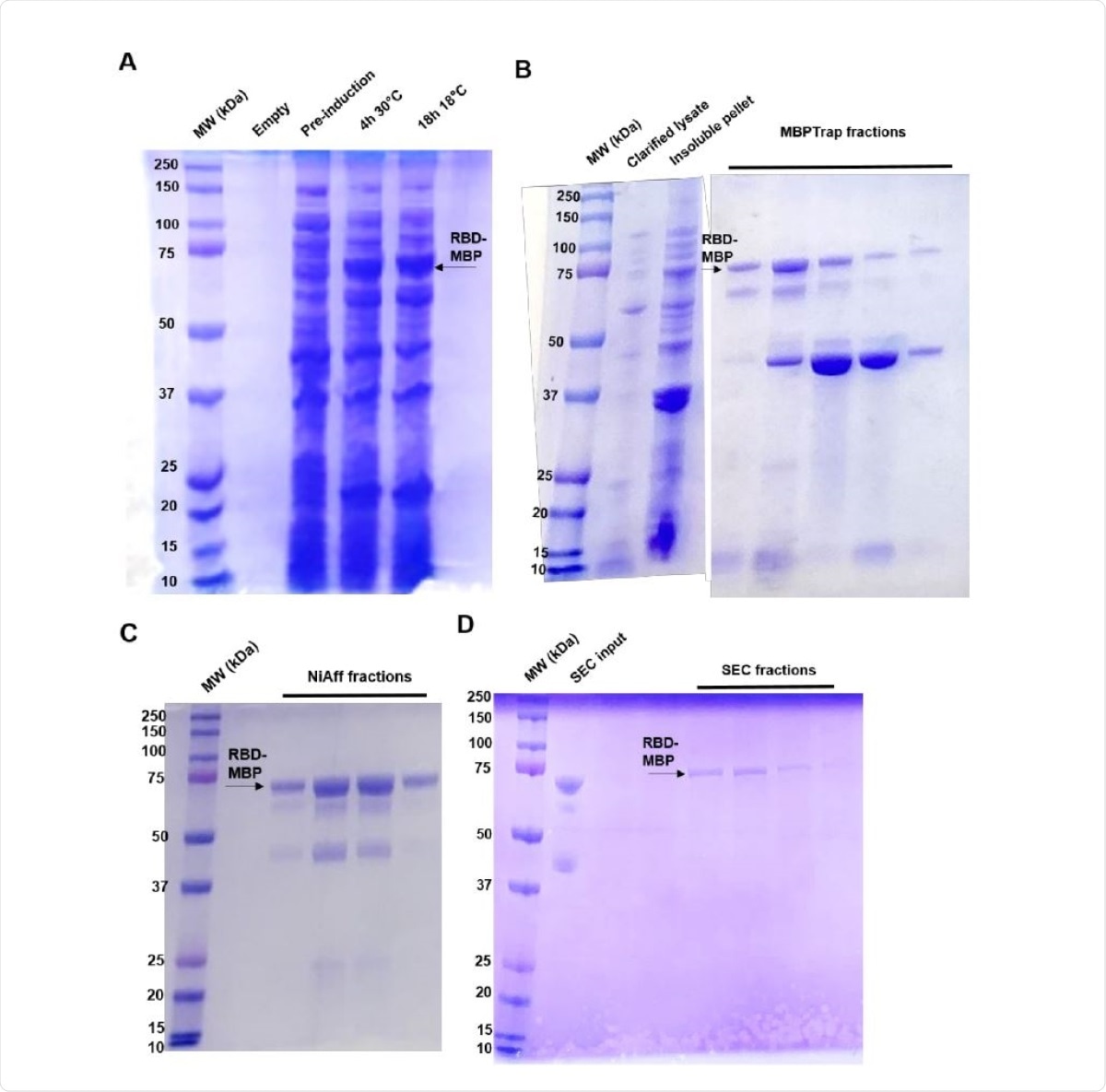
Protein purification SDS-PAGE gels. RBD-MBP can be observed running at 74 kDa, as indicated by the black arrows near the 75 kDa marker. Black arrows at approximately 42 kDa could indicate endogenously produced or cleaved MBP. A) Initial induction experiment comparing same-day (4 h) induction at 30° C and overnight (16 h) induction at 18° C. B) MBPTrap AKTA fractions. C) Nickel-affinity AKTA fractions. D) Size-exclusion AKTA fractions.
Protein purification SDS-PAGE gels. RBD-MBP can be observed running at 74 kDa, as indicated by the black arrows near the 75 kDa marker. Black arrows at approximately 42 kDa could indicate endogenously produced or cleaved MBP. A) Initial induction experiment comparing same-day (4 h) induction at 30° C and overnight (16 h) induction at 18° C. B) MBPTrap AKTA fractions. C) Nickel-affinity AKTA fractions. D) Size-exclusion AKTA fractions.

In the study, the researchers utilized the CyDisCo system to produce recombinant SARS-CoV-2 spike RBD that is properly folded with correct disulfide bonds. The team noted that the method is an easier and cost-effective way to generate antigens using a bacterial expression system, which can be used in diagnostic tests and assays.

To arrive at the study findings, the team developed a new and faster method to express and purify functionally active RBD antigen in E. coli. The team also found that the RBD fused to the maltose-binding protein (MBP) was recognized by human SARS-CoV-2-specific antibodies as confirmed by an immunoassay.

The coexpression of the sulfhydryl oxidase, Evr1p, and the disulfide bond isomerase, PDI in the CyDisCo system along with the plasmid of interest results in a well-folded and functionally active protein in a bacterial system, which is simple, rapid, and less expensive than a eukaryotic or mammalian system,” the researchers concluded in the study.

This news article was a review of a preliminary scientific report that had not undergone peer-review at the time of publication. Since its initial publication, the scientific report has now been peer reviewed and accepted for publication in a Scientific Journal. Links to the preliminary and peer-reviewed reports are available in the Sources section at the bottom of this article. View Sources

Journal references:

Article Revisions

  • Apr 4 2023 - The preprint preliminary research paper that this article was based upon was accepted for publication in a peer-reviewed Scientific Journal. This article was edited accordingly to include a link to the final peer-reviewed paper, now shown in the sources section.
Angela Betsaida B. Laguipo

Written by

Angela Betsaida B. Laguipo

Angela is a nurse by profession and a writer by heart. She graduated with honors (Cum Laude) for her Bachelor of Nursing degree at the University of Baguio, Philippines. She is currently completing her Master's Degree where she specialized in Maternal and Child Nursing and worked as a clinical instructor and educator in the School of Nursing at the University of Baguio.

Citations

Please use one of the following formats to cite this article in your essay, paper or report:

  • APA

    Laguipo, Angela. (2023, April 04). Scientists produce active antigen in bacteria to help combat SARS-CoV-2. News-Medical. Retrieved on January 20, 2026 from https://appetitesciencelab.com/news/20210208/Scientists-produce-active-antigen-in-bacteria-to-help-combat-SARS-CoV-2.aspx.

  • MLA

    Laguipo, Angela. "Scientists produce active antigen in bacteria to help combat SARS-CoV-2". News-Medical. 20 January 2026. <https://appetitesciencelab.com/news/20210208/Scientists-produce-active-antigen-in-bacteria-to-help-combat-SARS-CoV-2.aspx>.

  • Chicago

    Laguipo, Angela. "Scientists produce active antigen in bacteria to help combat SARS-CoV-2". News-Medical. https://appetitesciencelab.com/news/20210208/Scientists-produce-active-antigen-in-bacteria-to-help-combat-SARS-CoV-2.aspx. (accessed January 20, 2026).

  • Harvard

    Laguipo, Angela. 2023. Scientists produce active antigen in bacteria to help combat SARS-CoV-2. News-Medical, viewed 20 January 2026, https://appetitesciencelab.com/news/20210208/Scientists-produce-active-antigen-in-bacteria-to-help-combat-SARS-CoV-2.aspx.

Comments

The opinions expressed here are the views of the writer and do not necessarily reflect the views and opinions of News Medical.
Post a new comment
Post

Sign in to keep reading

We're committed to providing free access to quality science. By registering and providing insight into your preferences you're joining a community of over 1m science interested individuals and help us to provide you with insightful content whilst keeping our service free.

or

While we only use edited and approved content for Azthena answers, it may on occasions provide incorrect responses. Please confirm any data provided with the related suppliers or authors. We do not provide medical advice, if you search for medical information you must always consult a medical professional before acting on any information provided.

Your questions, but not your email details will be shared with OpenAI and retained for 30 days in accordance with their privacy principles.

Please do not ask questions that use sensitive or confidential information.

Read the full Terms & Conditions.

You might also like...
"Super-probiotic" bacteria created through ribosomal engineering