SARS-CoV-2 spike protein mediates acute lung pathology in mice

The COVID-19 pandemic involves a potentially lethal pneumonic illness caused by severe acute respiratory syndrome coronavirus 2 (SARS-CoV-2).

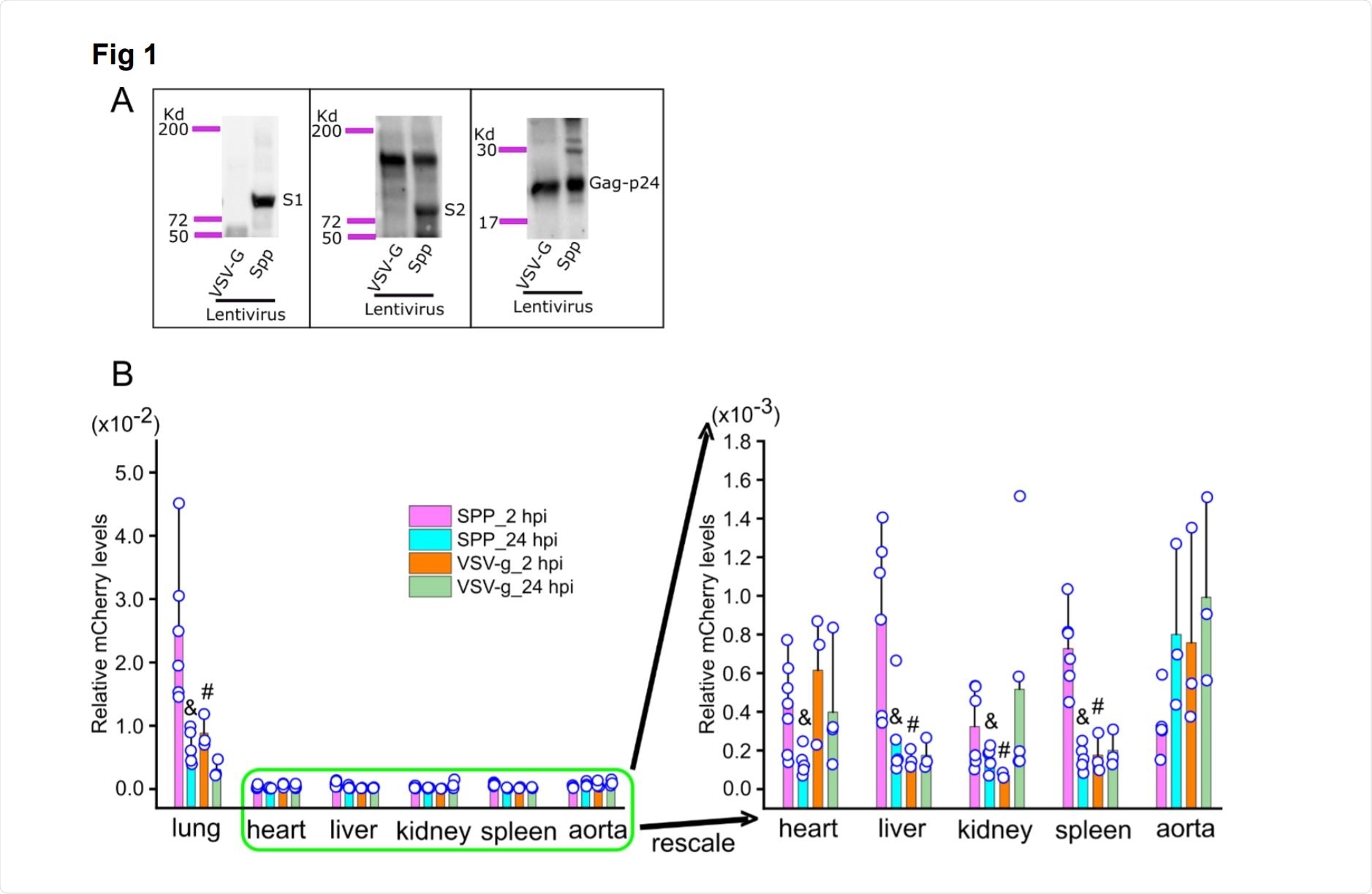
Systemic dissemination of Spike protein-pseudotyped (Spp) and vesicular stomatitis virus glycoprotein (VSV-G) lentiviruses in mice. (

Systemic dissemination of Spike protein-pseudotyped (Spp) and vesicular stomatitis virus glycoprotein (VSV-G) lentiviruses in mice. Image Credit: https://www.biorxiv.org/content/10.1101/2020.12.07.414706v1.full.pdf

This news article was a review of a preliminary scientific report that had not undergone peer-review at the time of publication. Since its initial publication, the scientific report has now been peer reviewed and accepted for publication in a Scientific Journal. Links to the preliminary and peer-reviewed reports are available in the Sources section at the bottom of this article. View Sources

An interesting new preprint appearing on the bioRxiv* server in December 2020 shows that the viral spike protein, which is among its immunodominant antigens, is adequate by itself to induce macrophage activation in pulmonary tissue and induce acute inflammation.

Viral Spike Protein Mediates Entry

SARS-CoV-2 is an enveloped RNA virus with a large genome, and its surface is studded with spikes formed of a glycoprotein. This spike or S antigen comprises two subunits, S1 and S2, and exists in the form of a homotrimer.

The S1 and S2 subunits mediate attachment to the host cell receptor, the angiotensin-converting enzyme 2 (ACE2), and viral-membrane fusion, respectively, allowing the virus to gain entry to the host cell and replicate. This process depends on the presence of furin or TMPRSS2, both host proteases that can cleave the S protein into its components.

Despite low levels of ACE2 in the lung tissue, it is co-expressed with TMPRSS2 in type 2 alveolar cells and the goblet cells of the nasal epithelium. Another entry receptor was recently identified, neuropilin 1 (NRP1), apparently using an ACE2-independent mechanism of entry.

Inflammatory Pathogenesis of Severe COVID-19

COVID-19 is known to be more severe and deadly among individuals with pre-existing disease such as hypertension, diabetes, and other cardiovascular conditions. The underlying cause of severe/critical illness is thought to be excessive virus-induced inflammation.

The current study examines a single aspect of the viral disease mechanism, namely, the spike-macrophage interactions and the resulting acute pulmonary inflammation.

The researchers used a spike-expressing pseudovirus which was injected into genetically engineered mice. The use of pseudoviruses obviates the need for biosecurity level 3 laboratories, as would be necessary for research on SARS-CoV-2 itself.

Spike Protein Affects Lungs Most Significantly

On necropsy, at 1- and 2-hours post-infection, the lungs showed the presence of the virus, but highest at 2 hpi. When the pseudovirus was compared with another virus, the VSV-G lentivirus, used as a control, the former was found to cause a threefold rise in viral load in the lungs.

Also, the viral load in the lungs was 27 times that in the liver, 33 times that in the spleen, 55 times that in the heart, and 74 times that in the kidney. The viral load in all organs decreased significantly in all tissues, at 24 hpi.

However, while the lungs showed no evident changes at 2 hpi, multiple lesions were found at 24 hpi, with inflammatory infiltrates, thickening of the alveolar septa, and fibrinoproteinous exudates.

Conversely, the control group showed only mild inflammation. Thus, the pseudoviral infection produced lesions very similar to those seen in severe COVID-19, indicating that the spike protein is responsible for acute pneumonia seen in these patients.

Viral Entry and Lipid Metabolism

Secondly, the researchers explored the cellular tropism of the pseudovirus. They found that most of the infected cells bore the low-density lipoprotein receptor (LDLr) marker, and indeed, ~84% of these cells were infected.

Concerning the macrophage markers CD68 and MRC1, about 10% of infected cells displayed the former marker, making up ~38% of these macrophages altogether. MRC1 macrophages appeared to show little susceptibility to the pseudovirus.

Intense Inflammation of Lung

Thirdly, they found that the lung produced an array of inflammatory markers in response to the pseudoviral infection, namely, IL 6, IL10, CD80, and PPAR-γ.

To test the ability of the spike protein to modulate immune function, the researchers infected RAW cells. They found that at 2 hpi, the transcriptional profile shifted towards a higher expression of these cytokines compared to either controls or VSV-G infected cells, and the levels of these mRNAs continued to rise at 16 hpi. When exposed to the spike-encoding DNA plasmid alone, these cells continued to show a rise in S protein expression.

What are the Implications?

The researchers studied the effect of intravenous injection of the virus, unlike the intranasal route of infection that is common. In defense of this practice, they point out that the virus spreads rapidly from the respiratory system to the blood and multiple organs in progressive and advanced disease, and this indeed determines the symptom severity. The findings in this study show how viremia allows the disease to progress in a suitable animal model.

This study thus shows that the SARS-CoV-2 spike protein is pathogenic in both isolated cells and a suitable animal model. This also confirms the utility of the spike-expressing lentivirus to study the susceptibility of various cell types to infection, and damage, mediated by the S protein.

The researchers show how the virus shows high alveolar cell tropism, inducing acute pneumonia, mediated, or at least enhanced by the presence of the spike protein. It demonstrates the tropism exhibited by LDLr-expressing type II lung cells and macrophages in the lung, which also bear the ACE2 receptor.

However, in mice, other receptors are likely to be involved as their ACE2 receptors have a lower affinity for the spike protein compared to human ACE2. This can be further studied using this pseudovirus.

The inflammatory changes seen in this model are not due to viral replication since this pseudovirus is incompetent to replicate. Instead, it replicates part of the disease process in the infected lung, in the form of exaggerated inflammation and upregulation of multiple inflammatory markers following infection with the pseudovirus but not the control virus.

The corresponding changes in the RAW cells support the role played by the spike protein in inducing macrophage inflammation, and further study is required in this area.

The major involvement of the LDLr-bearing cells also ties the acute lung inflammation and disease to changes in lipid metabolism. The spike protein can bind lipids in a binding pocket. The research will be needed to establish whether these receptors are involved in virus entry as well.

This news article was a review of a preliminary scientific report that had not undergone peer-review at the time of publication. Since its initial publication, the scientific report has now been peer reviewed and accepted for publication in a Scientific Journal. Links to the preliminary and peer-reviewed reports are available in the Sources section at the bottom of this article. View Sources

Journal references:

Article Revisions

  • Apr 3 2023 - The preprint preliminary research paper that this article was based upon was accepted for publication in a peer-reviewed Scientific Journal. This article was edited accordingly to include a link to the final peer-reviewed paper, now shown in the sources section.
Dr. Liji Thomas

Written by

Dr. Liji Thomas

Dr. Liji Thomas is an OB-GYN, who graduated from the Government Medical College, University of Calicut, Kerala, in 2001. Liji practiced as a full-time consultant in obstetrics/gynecology in a private hospital for a few years following her graduation. She has counseled hundreds of patients facing issues from pregnancy-related problems and infertility, and has been in charge of over 2,000 deliveries, striving always to achieve a normal delivery rather than operative.

Citations

Please use one of the following formats to cite this article in your essay, paper or report:

  • APA

    Thomas, Liji. (2023, April 03). SARS-CoV-2 spike protein mediates acute lung pathology in mice. News-Medical. Retrieved on January 20, 2026 from https://appetitesciencelab.com/news/20201210/SARS-CoV-2-spike-protein-mediates-acute-lung-pathology-in-mice.aspx.

  • MLA

    Thomas, Liji. "SARS-CoV-2 spike protein mediates acute lung pathology in mice". News-Medical. 20 January 2026. <https://appetitesciencelab.com/news/20201210/SARS-CoV-2-spike-protein-mediates-acute-lung-pathology-in-mice.aspx>.

  • Chicago

    Thomas, Liji. "SARS-CoV-2 spike protein mediates acute lung pathology in mice". News-Medical. https://appetitesciencelab.com/news/20201210/SARS-CoV-2-spike-protein-mediates-acute-lung-pathology-in-mice.aspx. (accessed January 20, 2026).

  • Harvard

    Thomas, Liji. 2023. SARS-CoV-2 spike protein mediates acute lung pathology in mice. News-Medical, viewed 20 January 2026, https://appetitesciencelab.com/news/20201210/SARS-CoV-2-spike-protein-mediates-acute-lung-pathology-in-mice.aspx.

Comments

The opinions expressed here are the views of the writer and do not necessarily reflect the views and opinions of News Medical.
Post a new comment
Post

Sign in to keep reading

We're committed to providing free access to quality science. By registering and providing insight into your preferences you're joining a community of over 1m science interested individuals and help us to provide you with insightful content whilst keeping our service free.

or

While we only use edited and approved content for Azthena answers, it may on occasions provide incorrect responses. Please confirm any data provided with the related suppliers or authors. We do not provide medical advice, if you search for medical information you must always consult a medical professional before acting on any information provided.

Your questions, but not your email details will be shared with OpenAI and retained for 30 days in accordance with their privacy principles.

Please do not ask questions that use sensitive or confidential information.

Read the full Terms & Conditions.

You might also like...
Sugarcane protein mouthwash helps protect oral health during head and neck cancer treatment