Diabetes and hypertension may increase the risk of COVID-19 brain complications

New data has revealed those with type 2 diabetes and hypertension are at an increased risk of neurological complications following infection with COVID-19.

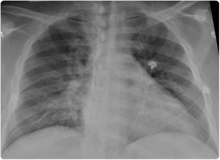
Chest X-ray of a SARS-CoV-2-positive patient exhibiting confusion and showing weakness on his left side shows pneumonia in the lower lungs.

Image Credit: Radiological Society of North America

Brain bleeding and stroke were seen to be more likely in patients who had hypertension and diabetes. The findings of this new study will be presented at the Radiological Society of North America's (RSNA) annual meeting.

Highlighting the risk of neurological complications

While much is known about the respiratory impact of COVID-19 infection, given that the virus’s primary target is the respiratory system. With COVID-19 inducing inflammation of the lungs, people who contract the infection face an increased risk of developing pneumonia. For this reason, those with current or prior respiratory illness or complications are often given tailored advice from their healthcare agency. Often, this group of people is considered to be at-risk and is encouraged to uphold stricter measures to afford them increased protection from contracting the virus.

However, the impact of the virus extends beyond the respiratory system. Colbey W. Freeman, M.D., the study’s lead other highlights the impact of COVID-19 on the brain, "While complications in the brain are rare, they are an increasingly reported and potentially devastating consequence of COVID-19 infection.”

Inspired to gain a deeper insight into how COVID-19 impacts the brain, Dr. Freeman and a team of researchers at the Perelman School of Medicine at the University of Pennsylvania studied a sample of 1,357 patients with COVID-19 who were admitted into hospital between January and April of 2020. 81 patients within this group had an MRI scan while admitted with COVID-19. Researchers

18 of the 81 brain scans had findings that were classed as emergency or critical, such as blocked blood vessels, brain bleeds, or strokes. Of these 81 patients, half had histories of hypertension and/or type 2 diabetes, much higher than is found in the general population, demonstrating a potential link between these conditions and an increased risk of neurological complications. Three patients out of this group of 81, unfortunately, died after being admitted to hospital.

The data strongly suggests that populations with hypertension and type 2 diabetes, including those at an increased risk of either of these conditions should be monitored more closely if they test positive for COVID-19. The findings from Dr. Freeman’s research indicates that people in these groups are more likely to develop neurological complications which could be life-threatening.

COVID-19

Image Credit: Andrii Vodolazhskyi/Shutterstock.com

The underlying mechanisms of COVID-19 brain complications

While the current study has developed our knowledge of populations who should be shielded from COVID-19 and should be closely monitored if hospitalized with an infection, there remains the question of how the virus provokes these harmful neurological effects. It is suggested that several factors may be involved, however, the main route may be via the inflammation associated with a viral infection.

The current study also found that the blood markers of inflammation were elevated in those with emergency or critical brain complications, further supporting this theory.

The body’s natural response to viral infection is to produce cytokines to trigger the immune response. However, occasionally these molecules are overproduced, at which point the immune response itself becomes damaging.

Given the importance of the data collected, the study will continue to run and new findings will be published in the near future. Dr. Freeman and his team are also planning to investigate the nature of neurological complications in those requiring extracorporeal membrane oxygenation (ECMO), as several patients were put onto this system while admitted for COVID-19.

This study, and others like it, will be vital to tackling the pandemic and protecting those most vulnerable from the most critical health complications as a result of COVID-19 infection.

News-Medical spoke to Dr. Freeman about his research and asked how we can more closely monitor individuals that suffer from hypertension and diabetes. His response was the following;

Because it is not practical to scan the brains of all patients with COVID-19 every day and most patients will not have these complications, we rely on the doctors directly taking care of patients for their thorough histories and physical exams, which includes listening to the patient's friends and family for clues.

Most of the patients in our study had brain scans because vigilant doctors found possible signs of brain injury on physical exam. With the sometimes overwhelming number of patients in the pandemic, it can be a challenge for doctors to be as thorough as we would like to be. That said, when a doctor performs a physical exam on a person with COVID-19, we feel that a neurological exam is an important part of that encounter.”

Dr. Freeman

Source:
Sarah Moore

Written by

Sarah Moore

After studying Psychology and then Neuroscience, Sarah quickly found her enjoyment for researching and writing research papers; turning to a passion to connect ideas with people through writing.

Citations

Please use one of the following formats to cite this article in your essay, paper or report:

  • APA

    Moore, Sarah. (2020, November 18). Diabetes and hypertension may increase the risk of COVID-19 brain complications. News-Medical. Retrieved on January 17, 2026 from https://appetitesciencelab.com/news/20201118/Diabetes-and-hypertension-may-increase-the-risk-of-COVID-19-brain-complications.aspx.

  • MLA

    Moore, Sarah. "Diabetes and hypertension may increase the risk of COVID-19 brain complications". News-Medical. 17 January 2026. <https://appetitesciencelab.com/news/20201118/Diabetes-and-hypertension-may-increase-the-risk-of-COVID-19-brain-complications.aspx>.

  • Chicago

    Moore, Sarah. "Diabetes and hypertension may increase the risk of COVID-19 brain complications". News-Medical. https://appetitesciencelab.com/news/20201118/Diabetes-and-hypertension-may-increase-the-risk-of-COVID-19-brain-complications.aspx. (accessed January 17, 2026).

  • Harvard

    Moore, Sarah. 2020. Diabetes and hypertension may increase the risk of COVID-19 brain complications. News-Medical, viewed 17 January 2026, https://appetitesciencelab.com/news/20201118/Diabetes-and-hypertension-may-increase-the-risk-of-COVID-19-brain-complications.aspx.

Comments

The opinions expressed here are the views of the writer and do not necessarily reflect the views and opinions of News Medical.
Post a new comment
Post

Sign in to keep reading

We're committed to providing free access to quality science. By registering and providing insight into your preferences you're joining a community of over 1m science interested individuals and help us to provide you with insightful content whilst keeping our service free.

or

While we only use edited and approved content for Azthena answers, it may on occasions provide incorrect responses. Please confirm any data provided with the related suppliers or authors. We do not provide medical advice, if you search for medical information you must always consult a medical professional before acting on any information provided.

Your questions, but not your email details will be shared with OpenAI and retained for 30 days in accordance with their privacy principles.

Please do not ask questions that use sensitive or confidential information.

Read the full Terms & Conditions.

You might also like...
Research shows benefits of lifestyle interventions in reducing the risk of gestational diabetes