Mouse model of fatal COVID-19 developed for vaccine and drug testing

As the severe acute respiratory syndrome coronavirus 2 (SARS-CoV-2) spreads throughout the world infecting millions, scientists are still frantically searching for an effective vaccine or antiviral.

One obstacle in SARS-CoV-2 vaccine development is the absence of a small animal model that undergoes infection with SARS-CoV-2 in a manner similar to humans.

Now, a new study published on the preprint server bioRxiv* in July 2020 presents an engineered transgenic mouse that reproduces the functional and clinical characteristics of severe human SARS-CoV-2 infection. This will allow the study of the disease process in humans, as well as help increase the efficacy of vaccines for SARS-CoV-2 and therapeutic drugs for COVID-19 disease.

The Importance of ACE2 in COVID-19

The SARS-CoV-2 virus gains access to the human host cells via the receptor molecule called the angiotensin-converting enzyme 2 (ACE2), used by both SARS-CoV and SARS-CoV-2 viruses. This receptor is found on a wide variety of cells, in the lung, the heart, the central nervous system, the kidneys, the gut, and in blood vessels as well as in fat tissue. Its physiological function includes negative regulation of the renin-angiotensin system and increased transport of specific amino acids.

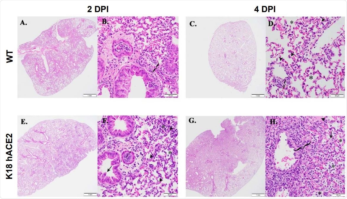
K18 hACE2 transgenic mice develop rhinitis, pneumonia with associated pulmonary inflammation after infection with SARS-CoV-2. (A-D and I-L) WT C57BL/6 mice. Minimal mononuclear and neutrophilic interstitial pneumonia in WT lung at 2-DPI (A, B bracket). By 4-DPI (5C, D) minimal alveolar histiocytosis (D, asterisk) pneumocyte type II cells (D, arrowheads), perivascular mononuclear inflammation (D, bracket) and rhinitis with low numbers of neutrophils (K, arrowhead) were variably observed. Lymphocyte aggregates in the lamina propria of the small intestine (I, asterisk). Mixed mononuclear inflammation with individual hepatocellular necrosis (J, arrowhead). Brain from WT 4-DPI was normal (L). (E-H and M-P) K18 hACE2 transgenic mice. Interstitial pneumonia (E, F) associated with alveolar histiocytosis admixed neutrophils and lymphocytes (F, asterisks), mild type II pneumocyte hyperplasia (F, arrowhead), bronchiolar syncytia (F, arrow), endothelial cells hyperplasia and vasculitis (F, bracket) by 2-DPI. Gut associated lymphoid tissue (GALT) with prominent germinal centers was observed (M, asterisk). Liver inflammation with variable amounts of individual hepatocellular necrosis (N, arrowhead). Greater lung involvement indicative of pneumonia (G), with inflammatory cellular accumulations and hemorrhage in alveolar spaces (H, asterisk) and interstitium (H, bracket), intra-alveolar fibrin admixed cellular debris (H, arrow), vasculitis (H, bracket), edema (H, arrowhead) by 4-DPI. Neutrophilic rhinitis observed at 4-DPI (O, bracket). Mild meningoencephalitis with vasculitis (P, arrowhead). Scale bars left images, 1 mm. Scale bars right images, 50 mm. DPI: Days post-infection.
K18 hACE2 transgenic mice develop rhinitis, pneumonia with associated pulmonary inflammation after infection with SARS-CoV-2. (A-D and I-L) WT C57BL/6 mice. Minimal mononuclear and neutrophilic interstitial pneumonia in WT lung at 2-DPI (A, B bracket). By 4-DPI (5C, D) minimal alveolar histiocytosis (D, asterisk) pneumocyte type II cells (D, arrowheads), perivascular mononuclear inflammation (D, bracket) and rhinitis with low numbers of neutrophils (K, arrowhead) were variably observed. Lymphocyte aggregates in the lamina propria of the small intestine (I, asterisk). Mixed mononuclear inflammation with individual hepatocellular necrosis (J, arrowhead). Brain from WT 4-DPI was normal (L). (E-H and M-P) K18 hACE2 transgenic mice. Interstitial pneumonia (E, F) associated with alveolar histiocytosis admixed neutrophils and lymphocytes (F, asterisks), mild type II pneumocyte hyperplasia (F, arrowhead), bronchiolar syncytia (F, arrow), endothelial cells hyperplasia and vasculitis (F, bracket) by 2-DPI. Gut associated lymphoid tissue (GALT) with prominent germinal centers was observed (M, asterisk). Liver inflammation with variable amounts of individual hepatocellular necrosis (N, arrowhead). Greater lung involvement indicative of pneumonia (G), with inflammatory cellular accumulations and hemorrhage in alveolar spaces (H, asterisk) and interstitium (H, bracket), intra-alveolar fibrin admixed cellular debris (H, arrow), vasculitis (H, bracket), edema (H, arrowhead) by 4-DPI. Neutrophilic rhinitis observed at 4-DPI (O, bracket). Mild meningoencephalitis with vasculitis (P, arrowhead). Scale bars left images, 1 mm. Scale bars right images, 50 mm. DPI: Days post-infection.

This news article was a review of a preliminary scientific report that had not undergone peer-review at the time of publication. Since its initial publication, the scientific report has now been peer reviewed and accepted for publication in a Scientific Journal. Links to the preliminary and peer-reviewed reports are available in the Sources section at the bottom of this article. View Sources

Small Animal Models in COVID-19

If a small animal model could reproduce the respiratory infectious disease features seen in humans with severe COVID-19, this would help test out hypotheses related to the mechanism of disease as well as of drugs and vaccines. Not only are mice docile and easy to use in laboratory studies, they are also readily available, inexpensive, and capable of undergoing tests that will show how severe disease evolved in some people with COVID-19.

Previously, transgenic mice with human ACE2 (hACE2) expression have had promoters that allow the infection of the mice to an extent such that features of mild to moderate COVID-19 develop in many organs, as well as weight loss and immune responses. However, none of the models have developed fatal SARS-CoV-2 infection. The current study was focused on determining the susceptibility of the K18 hACE2 mice to fatal infection with SARS-CoV-2.

The Study: Transgenic Mice and SARS-CoV-2

The researchers worked with a strain of laboratory mice called K18 hACE2 transgenic mice, which can be infected with this virus, according to recent studies. The expression of the hACE2 in these mice is due to the presence of the cytokeratin 18 (K18) receptor. However, the critical point is that these mice express the receptor in their airway epithelium, just like human COVID-19 patients.

Early and Severe Disease

The researchers infected these mice with the virus to evaluate its suitability as an animal model for COVID-19 disease. They found that indeed the infected mice developed rhinitis, pneumonia, and lung inflammation. They rapidly lost weight and died within 6 days post-infection (DPI). Female mice began to lose weight at the third DPI, but male mice started to lose about 5% of their weight from 1 DPI. After the third DPI, all mice were noticeably and progressively ill and died by the sixth DPI.

High Viral Loads

The severity and time of death correlated well with the intensity of viral replication in the upper and lower respiratory tract and brain, measured at 2 and 4 DPI. The mice had ~1x103 PFU and ~1x104 PFU in the nose and the lungs, respectively. These were sustained at 4 DPI as well. Control mice had undetectable viral loads throughout the same period.

Early Cytokine Storm

They also found that the occurrence of cytokine storm, vasculitis as well as other features of local tissue damage. The nose and lung epithelium also showed a high level of viral nucleocapsid (N) antigen. The early cytokine storm, occurring at around 2 DPI in the lungs of the K18 hACE2 infected mice, with a marked rise in a number of cytokines relative to the controls. All the cytokines did not follow the same pattern, with some falling by 4 DPI.

The cytokines observed to rise included the inflammatory mediators TNF, IL-6, IFN-α, and IFN-λ), and those related to Th1 activation (IL-12, IFN-γ), TH17 (IL-17, IL-27) as well as to Th2 activation (IL-4, IL-10). Earlier reports indicate that IL-1 is the earliest to rise, and since this was not observed, earlier measurements should probably have been taken in this mouse model.

The cytokines that remained raised include TNF and the type I and III IFNs.  Thus, these could be the promoters of progressive disease.

Reasons for Fall in Cytokine Titers

Significantly, other cytokines reduce even though the viral load is increasing, and the mice are showing progressively more severe wasting. The reasons for this could be the lymphoid infiltrate, which dampens the inflammatory response, the rise in Th2 cytokines which is anti-inflammatory, or the fibrosis-inducing IL-10 rise, which could also cause immunoparalysis by modulating the function of the neutrophils and monocytes recruited at the site of infection. Or the high IL-6 levels could enhance TNF activity in the acute phase, as well as recruit B cells to produce antibodies and induce fibrosis.

If one or more of these immunoregulatory mechanisms fails, an aberrant and dysregulated cytokine release might result, leading to a cytokine storm as seen in this mouse model.

Continuing Inflammation and Tissue Damage

Similarly, the sustained rise in the cell signaling molecule MCP-1/CCL2 could be a sign of continuing tissue toxicity and of the recruitment of more inflammatory cells to the site of infection. The resulting abundance of neutrophils and monocytes and subsequent vasculitis may be significant contributors to progressive and fatal COVID-19.

Here again, the researchers say, “the K18 hACE2 transgenic mice replicate cytokine and chemokine storm traits observed in humans.”

To measure systemic inflammation, chemokine titers in the spleen were assessed and found to be higher by 2 DPI, but not in the same pattern as those that arose in the lung. However, other tissues, including the spleen, failed to show evidence of a cytokine storm, showing this to be a local response.

Neurological Involvement

In the brain, Th1 and Th17 cytokines and chemokines rose by 4 DPI, which indicates that the virus may have reached the brain at this point. However, Th2 cytokines were dominant, probably upregulating IL-10 and thus modulating the inflammatory response. The occurrence of Th2 in the brain in control mice without evidence of the virus may mean that the virus can cross the blood-brain barrier. This could throw light on why some human infections are associated with neurological features. Interestingly, the Th1 and Th17 cytokines were higher in males than in females, while Th2 responses were higher in the latter. This may point to a propensity for neurological features in males relative to females infected with the virus.

The researchers also found that the hACE2 receptor was found in the lungs and nose, but also at high levels in the choroid plexus, which could indicate a potential route of spread of the virus within the central nervous system.

Conclusion: Mouse Model Could Help Unravel Disease Mechanism

The study concludes, “Our data provide evidence that K18 hACE2 transgenic mice represent an excellent animal model of SARS-CoV-2 infection and associated severe COVID-19 disease, providing the research community with a much needed small animal model to evaluate vaccines and/or antivirals for SARS-CoV-2 infection and associated severe COVID-19 disease in vivo.”

These findings will help to establish this mouse model which replicates the signs of terminal COVID-19 disease, and thus be an invaluable addition to non-human primates for preclinical testing purposes, since the latter do not show the signs of severe respiratory distress characteristic in humans.

This news article was a review of a preliminary scientific report that had not undergone peer-review at the time of publication. Since its initial publication, the scientific report has now been peer reviewed and accepted for publication in a Scientific Journal. Links to the preliminary and peer-reviewed reports are available in the Sources section at the bottom of this article. View Sources

Journal references:

Article Revisions

  • Mar 23 2023 - The preprint preliminary research paper that this article was based upon was accepted for publication in a peer-reviewed Scientific Journal. This article was edited accordingly to include a link to the final peer-reviewed paper, now shown in the sources section.
Dr. Liji Thomas

Written by

Dr. Liji Thomas

Dr. Liji Thomas is an OB-GYN, who graduated from the Government Medical College, University of Calicut, Kerala, in 2001. Liji practiced as a full-time consultant in obstetrics/gynecology in a private hospital for a few years following her graduation. She has counseled hundreds of patients facing issues from pregnancy-related problems and infertility, and has been in charge of over 2,000 deliveries, striving always to achieve a normal delivery rather than operative.

Citations

Please use one of the following formats to cite this article in your essay, paper or report:

  • APA

    Thomas, Liji. (2023, March 23). Mouse model of fatal COVID-19 developed for vaccine and drug testing. News-Medical. Retrieved on January 19, 2026 from https://appetitesciencelab.com/news/20200721/Mouse-model-of-fatal-COVID-19-developed-for-vaccine-and-drug-testing.aspx.

  • MLA

    Thomas, Liji. "Mouse model of fatal COVID-19 developed for vaccine and drug testing". News-Medical. 19 January 2026. <https://appetitesciencelab.com/news/20200721/Mouse-model-of-fatal-COVID-19-developed-for-vaccine-and-drug-testing.aspx>.

  • Chicago

    Thomas, Liji. "Mouse model of fatal COVID-19 developed for vaccine and drug testing". News-Medical. https://appetitesciencelab.com/news/20200721/Mouse-model-of-fatal-COVID-19-developed-for-vaccine-and-drug-testing.aspx. (accessed January 19, 2026).

  • Harvard

    Thomas, Liji. 2023. Mouse model of fatal COVID-19 developed for vaccine and drug testing. News-Medical, viewed 19 January 2026, https://appetitesciencelab.com/news/20200721/Mouse-model-of-fatal-COVID-19-developed-for-vaccine-and-drug-testing.aspx.

Comments

The opinions expressed here are the views of the writer and do not necessarily reflect the views and opinions of News Medical.
Post a new comment
Post

Sign in to keep reading

We're committed to providing free access to quality science. By registering and providing insight into your preferences you're joining a community of over 1m science interested individuals and help us to provide you with insightful content whilst keeping our service free.

or

While we only use edited and approved content for Azthena answers, it may on occasions provide incorrect responses. Please confirm any data provided with the related suppliers or authors. We do not provide medical advice, if you search for medical information you must always consult a medical professional before acting on any information provided.

Your questions, but not your email details will be shared with OpenAI and retained for 30 days in accordance with their privacy principles.

Please do not ask questions that use sensitive or confidential information.

Read the full Terms & Conditions.

You might also like...
Long-term study reveals shifting patterns in COVID-19 vaccine hesitancy