No specific COVID-19-linked lesions found despite extensive organ injury

A recent paper published online on the preprint server medRxiv* in May 2020 reports autopsy results on COVID-19 patients. The paper concludes that there were no specific hallmark lesions of COVID-19 in any of the many organs found to be injured by the infection in patients who died of the disease.

How Was the Study Done?

In a bid to understand the disease process caused by severe acute respiratory syndrome coronavirus 2 (SARS-CoV-2), investigators have been trying to understand how the virus causes severe injury and sometimes death in a large percentage of cases. The researchers examined 17 adults, of median age 72 years, of which 12 were males. The median duration from hospitalization to death was 13 days.

Novel Coronavirus SARS-CoV-2 Colorized scanning electron micrograph of an apoptotic cell (red) heavily infected with SARS-COV-2 virus particles (yellow), isolated from a patient sample. Image captured at the NIAID Integrated Research Facility (IRF) in Fort Detrick, Maryland. Credit: NIAID
Novel Coronavirus SARS-CoV-2 Colorized scanning electron micrograph of an apoptotic cell (red) heavily infected with SARS-COV-2 virus particles (yellow), isolated from a patient sample. Image captured at the NIAID Integrated Research Facility (IRF) in Fort Detrick, Maryland. Credit: NIAID

This news article was a review of a preliminary scientific report that had not undergone peer-review at the time of publication. Since its initial publication, the scientific report has now been peer reviewed and accepted for publication in a Scientific Journal. Links to the preliminary and peer-reviewed reports are available in the Sources section at the bottom of this article. View Sources

Except for 2 patients, all had one or more co-existing medical conditions, most commonly diabetes, and high blood pressure, at 9 and 10 patients, respectively. Another 4 each had cerebrovascular disease, coronary artery disease, and cancer.

Eleven and six patients died in the intensive care unit and the medical ward, respectively, with the chief causes of death being recorded as a respiratory failure in 9 cases and multiple organ failure in 7 cases.

What Did the Study Show?

Macroscopic examination of the lungs on autopsy showed a variety of findings, from heavy consolidated lungs to pulmonary artery thrombi. The heart was significantly larger than usual, and the liver in a few patients as well.

The kidneys were also larger in many patients, and looked pale but had no signs of blocked blood flow or hemorrhage. The gut was nonspecific, while the brain samples mostly showed no pathology.

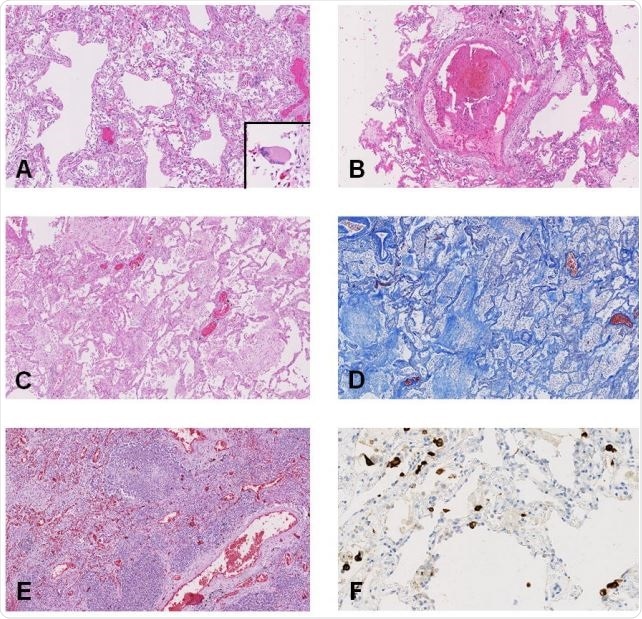
On histologic examination, the findings varied from diffuse alveolar damage (DAD) in the lungs, with microscopic clots within the small pulmonary arteries, acute pneumonic changes or bronchopneumonia, to chronic ischemic heart damage in a majority of patients, to congestive liver disease and fatty liver. The brain was hemorrhagic or suffused in about half the patients, but chronic changes were also frequently seen.

Of the 17 patients, 11 had the virus in their lungs when examined by immunohistochemistry, but in 16 by RT-PCR, which is more sensitive. The researchers failed to observe any uniform pattern of distribution of the virus in the lungs. At least one organ in every patient contained viral particles, mostly in the lungs, heart, liver, intestines, and a little less frequently in the spleen, kidney, and brain. The viral load was higher for tissues other than the lung.

Difficulties in Identifying a Specific Pattern of COVID-19 Injury

The aim of the study was to identify SARS-CoV-2-related organ injury. However, the autopsy results in these 17 patients showed signs of chronic disease overlaid by a variety of more recent signs. With gross differences in the co-morbidity pattern, treatment protocols, adoption of mechanical ventilation, and presence of acute complications, there is bound to be a diverse representation of lung injury.

For instance, in the case of DAD, it could have been part of the natural course of COVID-19 or alternatively, a result of other complications like hospital-acquired pneumonia. These are hard to differentiate in such critically ill patients, with over half of them showing acute pneumonic changes.

However, earlier researchers did conclude that COVID-19 pneumonia is not linked to DAD but to acute fibrinous and organizing pneumonia (AFOP). On the other hand, it is possible that AFOP could be a form of DAD that produces more fibrin.

The hyaline membranes characteristic of AFOP is also seen in DAD but with an unpredictable distribution. Thus, the whole lung must be examined to rule out the latter. Again, with lung biopsies, the presence of the virus could be missed in as many as half the cases. The study thus shows the potential error inherent in relying on lung biopsies and not whole lung studies to deduce the effects of this infection.

Pulmonary embolism was not very common, though microthrombi were seen frequently. Seven patients had either PE or pulmonary infarction; however, it was not the primary or major cause of death in this series of patients. Microthrombi are seen in many cases of Acute Respiratory Distress Syndrome (ARDS), and are a nonspecific feature of procoagulative and inflammatory states.

Acute cardiac injury was also not very common in the form of acute myocarditis or myocardial ischemia. The presence of the virus in all the tissues examined may reflect the widespread presence of the ACE2 receptor in the body and not direct viral injury.

Limitations and Implications

The study is limited in that only 17 patients were included, and the post-mortem examinations could be performed only 72-96 hours after death. This allowed significant autolysis to occur, leading to the destruction of tissues like the gut and kidneys. Another issue was the difficulty of tracing the timeline of viral spread between different organs, which might have helped to generate a theory as to the route of spread of the virus from the lungs to other parts of the body.

Finally, the course of the disease, the time to death, and the type of treatment was widely different, meaning that the findings could not be mapped to the microscopic findings as being results of COVID-19 itself, nor could the actual mechanism of organ injury be deciphered.

The absence of a specific pattern of injury in organs other than the lungs suggests that “SARS-CoV-2 infection may be just the trigger for an overwhelming host response, which could secondarily result in COVID-19-associated organ dysfunction.” Secondly, the detection of viral nucleic acid by the RT-PCR test need not mean the presence of actively replicating virus or even the presence of viral infection in the cell itself, but instead could be an innocuous finding.

The study, therefore, highlights the danger of mapping any single extrapulmonary feature of injury to COVID-19, while confirming the presence of the virus in every organ irrespective of whether lesions were seen on microscopic examination.

This news article was a review of a preliminary scientific report that had not undergone peer-review at the time of publication. Since its initial publication, the scientific report has now been peer reviewed and accepted for publication in a Scientific Journal. Links to the preliminary and peer-reviewed reports are available in the Sources section at the bottom of this article. View Sources

Journal references:

Article Revisions

  • Mar 22 2023 - The preprint preliminary research paper that this article was based upon was accepted for publication in a peer-reviewed Scientific Journal. This article was edited accordingly to include a link to the final peer-reviewed paper, now shown in the sources section.
Dr. Liji Thomas

Written by

Dr. Liji Thomas

Dr. Liji Thomas is an OB-GYN, who graduated from the Government Medical College, University of Calicut, Kerala, in 2001. Liji practiced as a full-time consultant in obstetrics/gynecology in a private hospital for a few years following her graduation. She has counseled hundreds of patients facing issues from pregnancy-related problems and infertility, and has been in charge of over 2,000 deliveries, striving always to achieve a normal delivery rather than operative.

Citations

Please use one of the following formats to cite this article in your essay, paper or report:

  • APA

    Thomas, Liji. (2023, March 22). No specific COVID-19-linked lesions found despite extensive organ injury. News-Medical. Retrieved on January 18, 2026 from https://appetitesciencelab.com/news/20200601/No-specific-COVID-19-linked-lesions-found-despite-extensive-organ-injury.aspx.

  • MLA

    Thomas, Liji. "No specific COVID-19-linked lesions found despite extensive organ injury". News-Medical. 18 January 2026. <https://appetitesciencelab.com/news/20200601/No-specific-COVID-19-linked-lesions-found-despite-extensive-organ-injury.aspx>.

  • Chicago

    Thomas, Liji. "No specific COVID-19-linked lesions found despite extensive organ injury". News-Medical. https://appetitesciencelab.com/news/20200601/No-specific-COVID-19-linked-lesions-found-despite-extensive-organ-injury.aspx. (accessed January 18, 2026).

  • Harvard

    Thomas, Liji. 2023. No specific COVID-19-linked lesions found despite extensive organ injury. News-Medical, viewed 18 January 2026, https://appetitesciencelab.com/news/20200601/No-specific-COVID-19-linked-lesions-found-despite-extensive-organ-injury.aspx.

Comments

The opinions expressed here are the views of the writer and do not necessarily reflect the views and opinions of News Medical.
Post a new comment
Post

Sign in to keep reading

We're committed to providing free access to quality science. By registering and providing insight into your preferences you're joining a community of over 1m science interested individuals and help us to provide you with insightful content whilst keeping our service free.

or

While we only use edited and approved content for Azthena answers, it may on occasions provide incorrect responses. Please confirm any data provided with the related suppliers or authors. We do not provide medical advice, if you search for medical information you must always consult a medical professional before acting on any information provided.

Your questions, but not your email details will be shared with OpenAI and retained for 30 days in accordance with their privacy principles.

Please do not ask questions that use sensitive or confidential information.

Read the full Terms & Conditions.

You might also like...
How pandemic viruses spread across U.S. cities before anyone notices