Scientists map molecular steps in the development of endometrial cancer

A new study reveals the molecular steps that bring about endometrial cancer, commonly known as uterine cancer, which is the sixth most common cancer in women across the globe. The new insight will help doctors to better identify which patients may need aggressive treatment, and why conventional treatments may not be effective for some patients.

The study, funded by the National Cancer Institute and published in the journal Cell, provides a detailed look at dozens of molecular steps that happen in the development of this type of cancer. It is the most comprehensive molecular study of uterine cancer. It has defined how genes and proteins play significant roles in endometrial cancer, offering doctors the potential to provide individualized treatment approaches for patients.

The researchers from NYU Grossman School of Medicine and other institutions measure key proteins, which are workhorses that build molecular structures and signaling networks. They found that already-approved drugs that target proteins known as CDK12, PML, and SMARCA4 in other types of cancer may help in the treatment of endometrial cancer.

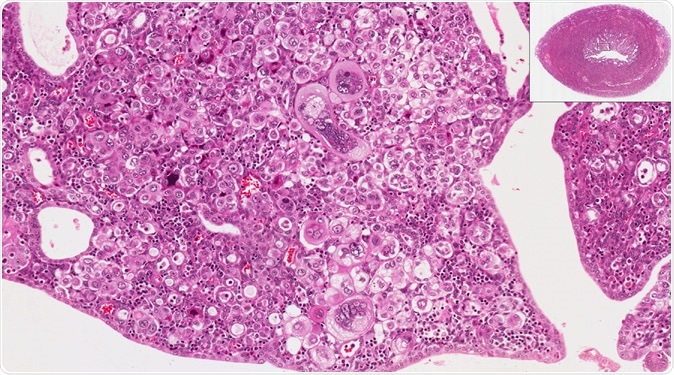
The new study from NYU Langone researchers provides an in-depth survey of the molecular players in endometrial cancer and suggests new treatment approaches. High and low power microscopic view of endometrium (uterus) to show endometrial cancer. Image Credit: vetpathologist / Shutterstock
The new study from NYU Langone researchers provides an in-depth survey of the molecular players in endometrial cancer and suggests new treatment approaches. High and low power microscopic view of endometrium (uterus) to show endometrial cancer. Image Credit: vetpathologist / Shutterstock

More than genes

The new study built its work in The Cancer Gene Atlas (TCGA), which identified some of the genetic underpinnings of the disease in 2013. The scientists suggest that there is more to cancer than just genes.

To land to their findings, they analyzed 95 uterine tumors and 49 normal uterine tissue samples. With these, they measured the levels and modifications of molecular players, such as genes, microRNAs, circular RNAs, messenger RNAs, and proteins.

The team also studied the chemical changes to proteins, known as post-translational modifications, which is essential to determine when and where proteins are inactive or active. In a nutshell, the team collected 12 million measurements of differences between healthy cells and cancerous cells.

With the millions of measurements, the researchers developed a new method to determine tumors that are not aggressive now but will turn out to be as invasive as serous tumors, which are very potent and can kill patients.

At present, to determine how aggressive endometrial cancer is, doctors rely on biopsy or viewing the cells under a microscope. However, in the study, the team suggests that activity levels of some proteins can differentiate tumors that are more aggressive from less aggressive tumors.

Interestingly, the scientists also found that one process, which involved packing and unpacking genes, occurs more often than expected in cancer cells. Further, they found that a process called histone acetylation, which is a crucial part of the process, exists in endometrial cancer.

A promising avenue for treatment

The findings of the study allowed the researchers to devise a new way to determine which patients are most likely to benefit from a treatment called immune checkpoint therapy.

In the therapy, doctors use drugs like nivolumab and pembrolizumab to remove the barriers that most tumor cells use to escape the immune system. These immune checkpoint inhibitors fight cancer by blocking checkpoint proteins from binding with their partner proteins, preventing the turn off signal from being sent. Hence, the drugs allow the T cells of the immune system to kill cancer cells. It’s like boosting the power of the body’s immune system to fight cancer itself.

The new study now shows promise in treating patients who may need more aggressive treatment, reducing the risk of the tumor cells become invasive. Determining which patients would benefit from the drugs would help spare patients severe and unneeded side effects.

“For many years, scientists have been using genomics, the study of the genetic code, which is a very effective way but a relatively basic way to look at cancer. But if we add on all these extra levels--proteins, RNA, and the ways proteins talk to each other--then we can learn even more about how cancer is actually working,” Emily Kawaler, a student at NYU Grossman School of Medicine and study co-author, said.

Journal reference:

Proteogenomic Characterization of Endometrial Carcinoma Dou, YongchaoAgarwal, Anupriya et al. Cell, https://www.cell.com/cell/fulltext/S0092-8674(20)30107-0?

Angela Betsaida B. Laguipo

Written by

Angela Betsaida B. Laguipo

Angela is a nurse by profession and a writer by heart. She graduated with honors (Cum Laude) for her Bachelor of Nursing degree at the University of Baguio, Philippines. She is currently completing her Master's Degree where she specialized in Maternal and Child Nursing and worked as a clinical instructor and educator in the School of Nursing at the University of Baguio.

Citations

Please use one of the following formats to cite this article in your essay, paper or report:

  • APA

    Laguipo, Angela. (2020, February 16). Scientists map molecular steps in the development of endometrial cancer. News-Medical. Retrieved on January 20, 2026 from https://appetitesciencelab.com/news/20200216/Scientists-map-molecular-steps-in-the-development-of-endometrial-cancer.aspx.

  • MLA

    Laguipo, Angela. "Scientists map molecular steps in the development of endometrial cancer". News-Medical. 20 January 2026. <https://appetitesciencelab.com/news/20200216/Scientists-map-molecular-steps-in-the-development-of-endometrial-cancer.aspx>.

  • Chicago

    Laguipo, Angela. "Scientists map molecular steps in the development of endometrial cancer". News-Medical. https://appetitesciencelab.com/news/20200216/Scientists-map-molecular-steps-in-the-development-of-endometrial-cancer.aspx. (accessed January 20, 2026).

  • Harvard

    Laguipo, Angela. 2020. Scientists map molecular steps in the development of endometrial cancer. News-Medical, viewed 20 January 2026, https://appetitesciencelab.com/news/20200216/Scientists-map-molecular-steps-in-the-development-of-endometrial-cancer.aspx.

Comments

The opinions expressed here are the views of the writer and do not necessarily reflect the views and opinions of News Medical.
Post a new comment
Post

Sign in to keep reading

We're committed to providing free access to quality science. By registering and providing insight into your preferences you're joining a community of over 1m science interested individuals and help us to provide you with insightful content whilst keeping our service free.

or

While we only use edited and approved content for Azthena answers, it may on occasions provide incorrect responses. Please confirm any data provided with the related suppliers or authors. We do not provide medical advice, if you search for medical information you must always consult a medical professional before acting on any information provided.

Your questions, but not your email details will be shared with OpenAI and retained for 30 days in accordance with their privacy principles.

Please do not ask questions that use sensitive or confidential information.

Read the full Terms & Conditions.

You might also like...
Teen girls who play organized sports show lower breast cancer risk biomarkers