Kayla Matthews

Kayla Matthews

Medical Devices

Kayla Matthews is a MedTech journalist and writer. Her interest in medical technologies grew out of her larger interest in technology, science, and gadgets.

Previously, Kayla has been a senior writer for the popular technology site MakeUseOf, as well as had her writing featured on well-known sites such as The Week, The Observer, Computerworld, and The Daily Dot.

In the medical and healthcare space, Kayla’s work has been featured on a number of prominent websites. These include SpringerOpen, HIT Consultant, HealthIT Outcomes, Medical Economics, and Healthcare Innovation.

In addition to writing about medical devices, healthcare policies and cybersecurity in the health space, Kayla also owns and writes her own blog. In addition to covering topics such as big data, robotics, blockchain, and VR/AR, Kayla also writes about medical technologies on her website.

Articles from Kayla

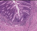
Bowel Preparation for Colectomy: Risks to Watch For

Bowel Preparation for Colectomy: Risks to Watch For

Breast Cancer and Atrial Fibrillation

Breast Cancer and Atrial Fibrillation

Positive Effects of Exercise on the Brain

Positive Effects of Exercise on the Brain

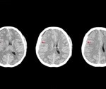
Is Reversing Brain Damage Possible?

Is Reversing Brain Damage Possible?

Transcranial Magnetic Stimulation Therapy for Depression

Transcranial Magnetic Stimulation Therapy for Depression

While we only use edited and approved content for Azthena answers, it may on occasions provide incorrect responses. Please confirm any data provided with the related suppliers or authors. We do not provide medical advice, if you search for medical information you must always consult a medical professional before acting on any information provided.

Your questions, but not your email details will be shared with OpenAI and retained for 30 days in accordance with their privacy principles.

Please do not ask questions that use sensitive or confidential information.

Read the full Terms & Conditions.