Life Science Articles

RSS
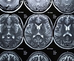
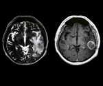
Micro-MRI in Cancer Research

Micro-MRI in Cancer Research

Micro-PAT in Cancer Research

Micro-PAT in Cancer Research

Using Dynamic Light Scattering (DLS) for Liposome Size Analysis

Using Dynamic Light Scattering (DLS) for Liposome Size Analysis

Thermal Analysis of Pharmaceutical Materials

Thermal Analysis of Pharmaceutical Materials

Positron Emission Tomography

Positron Emission Tomography

Non-protein Functions of Amino Acids

Non-protein Functions of Amino Acids

Single Photon Emission Computed Tomography (SPECT)

Single Photon Emission Computed Tomography (SPECT)

Optical, Electron and Scanning Probe Microscopy

Optical, Electron and Scanning Probe Microscopy

Micro-PET Principles, Strengths, and Weaknesses

Micro-PET Principles, Strengths, and Weaknesses

Micro-PAT Principles, Strengths, and Weaknesses

Micro-PAT Principles, Strengths, and Weaknesses

Micro-MRI Principles, Strengths, and Weaknesses

Micro-MRI Principles, Strengths, and Weaknesses

Microfluidics Applications

Microfluidics Applications

What is Microfluidics?

What is Microfluidics?

Micro-CT Principles, Strengths, and Weaknesses

Micro-CT Principles, Strengths, and Weaknesses

Gibbs Free Energy and Metabolism

Gibbs Free Energy and Metabolism

Electrochemical Analysis

Electrochemical Analysis

Micro-Ultrasound in Cancer Research

Micro-Ultrasound in Cancer Research

Micro-Ultrasound Principles, Strengths, and Weaknesses

Micro-Ultrasound Principles, Strengths, and Weaknesses

What is Transmission Electron Microscopy?

What is Transmission Electron Microscopy?

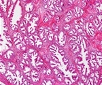
What is cytopathology?

What is cytopathology?

While we only use edited and approved content for Azthena answers, it may on occasions provide incorrect responses. Please confirm any data provided with the related suppliers or authors. We do not provide medical advice, if you search for medical information you must always consult a medical professional before acting on any information provided.

Your questions, but not your email details will be shared with OpenAI and retained for 30 days in accordance with their privacy principles.

Please do not ask questions that use sensitive or confidential information.

Read the full Terms & Conditions.