Immunohistochemistry (IHC) Imaging Techniques

Immunohistochemistry (IHC) is an imaging technique to visualize antigens in cells. Labeled antibodies bind to target antigens in the cell to image the distribution and localization of specific proteins of interest.

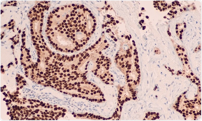
Breast cancer cells that have been visualized using immunohistochemistry (IHC) - photo taken By David Litman

David Litman | Shutterstock

The origins of immunohistochemistry (IHC)

The first study using IHC was published in the 1940s when antigens of bacterial species Streptococcus pneumonia were discovered in the tissues. Since then, a wealth of developments and several different approaches have been made. Today, IHC represents a fairly standard routine procedure, but essential in many settings.

Conventional IHC involves staining thin tissue sections immunologically; however, recent techniques can automate the sample preparation and staining. Traditional approaches used one stain or color for one target, but recent developments have furthered the field of multi-color IHC.

Basic methodology

There are generally four steps which precede imaging of the sample: preparation, antigen retrieval, background blocking, and target detection. Because the goal of IHC is to localize cellular components, the tissue architecture and cell morphology needs to be preserved.

In any case, blood must be removed to remove any interference by blood antigens with target antigen detection, while the tissues are fixed, commonly in formalin and then embedded in paraffin wax. The fixation and embedding method is typically referred to FFPE. The embedding allows the tissue to be sectioned and mounted.

Before antigen retrieval, the paraffin from the FFPE needs to be removed to allow the antibodies to react with the antigen. The antigen retrieval itself is done to ensure unmasking antigens which have developed methylene bridges between proteins from the FFPE method. This is typically done by heating the sections or digesting tissue sections.

Some endogenously occurring molecules need to be blocked in IHC to prevent them from giving false positive results. Background blocking involves physically or chemically blocking biotin or enzyme activity. However, background staining can also be caused by nonspecific binding of the antibody. Potential sites are therefore blocked prior to antibody application.

Visualizing cells after IHC

There are two main methods of achieving the visual signal in IHC, called the direct and indirect method. Both direct and indirect methods utilize antibodies to detect the target antigen, but the choice can differ depending on antigen abundance and desired readout.

The direct method has the marker, i.e. the fluorescence or other, labelled on the antibody that binds the antigen. With the indirect method, a secondary antibody is the labeled one, and this secondary one reacts with the primary antibody, which in turn binds the antigen. While the direct method saves time, the indirect method’s signal is amplified, making it much more effective.

The stained samples can be imaged by employing light or fluorescence microscopy. Confocal microscopy can be applied to certain antibody detection methods, and will yield greater detail. In the event of large data sets, high content screening analysis can be used to quickly quantify levels of cellular components and compare data from several samples.

What are the applications of IHC?

IHC is used in the whole spectrum of biological sciences: biological research, diagnosis, and drug development. In biological research, IHC can visualize tissue organization, organ development, and apoptosis, to name just a few fields.

IHC is also the preferred method for studying the expression of genetic material, both mitochondrial and nuclear DNA, in mitochondria in small tissue samples. This is done by antibodies that target DNA or that target the subunits of the respiratory chain complexes encoded by mitochondrial and nuclear DNA.

In medical settings, IHC can be used diagnostically to target specific markers of diseases and conditions. For example, tumor markers can be targeted by IHC to diagnose it as benign or malignant, determine the tumor’s stage, and to identify the cell type.

Finally, in drug development, IHC is used to verify the efficacy of a drug. This can be done by activity detection, or by targeting the up or down regulation of markers of the target disease in the tissue. It can also be used to predict treatment responses when treating different malignancies.

Last Updated: Jan 3, 2019

Sara Ryding

Written by

Sara Ryding

Sara is a passionate life sciences writer who specializes in zoology and ornithology. She is currently completing a Ph.D. at Deakin University in Australia which focuses on how the beaks of birds change with global warming.

Citations

Please use one of the following formats to cite this article in your essay, paper or report:

  • APA

    Ryding, Sara. (2019, January 03). Immunohistochemistry (IHC) Imaging Techniques. News-Medical. Retrieved on January 17, 2026 from https://appetitesciencelab.com/life-sciences/Immunohistochemistry-Imaging-Technique.aspx.

  • MLA

    Ryding, Sara. "Immunohistochemistry (IHC) Imaging Techniques". News-Medical. 17 January 2026. <https://appetitesciencelab.com/life-sciences/Immunohistochemistry-Imaging-Technique.aspx>.

  • Chicago

    Ryding, Sara. "Immunohistochemistry (IHC) Imaging Techniques". News-Medical. https://appetitesciencelab.com/life-sciences/Immunohistochemistry-Imaging-Technique.aspx. (accessed January 17, 2026).

  • Harvard

    Ryding, Sara. 2019. Immunohistochemistry (IHC) Imaging Techniques. News-Medical, viewed 17 January 2026, https://appetitesciencelab.com/life-sciences/Immunohistochemistry-Imaging-Technique.aspx.

Comments

The opinions expressed here are the views of the writer and do not necessarily reflect the views and opinions of News Medical.
Post a new comment
Post

While we only use edited and approved content for Azthena answers, it may on occasions provide incorrect responses. Please confirm any data provided with the related suppliers or authors. We do not provide medical advice, if you search for medical information you must always consult a medical professional before acting on any information provided.

Your questions, but not your email details will be shared with OpenAI and retained for 30 days in accordance with their privacy principles.

Please do not ask questions that use sensitive or confidential information.

Read the full Terms & Conditions.

You might also like...
Can oral bacteria make heart disease worse?