What is Tartar?

The first thing you notice about someone you meet is the smile on their face. Besides the very obvious aesthetic value of having healthy teeth, there is also a considerable medical value that can’t be ignored.

Taking care of your teeth is an important aspect of taking care of your body. It starts with making sure that the tartar that accumulates on your teeth is removed periodically to ensure that there is no decay within the oral cavity.

If the tartar is allowed to grow without removal, it will first lead to a gum disease known as gingivitis where the gums are inflamed, swollen, and bleed. The calcification of the tartar leads to periodontitis which is even more serious than gingivitis. There is pus formation between the teeth and gums, teeth become loose, chewing becomes painful and bad breath is a constant even when you brush your teeth. Periodontitis also causes a higher risk of heart diseases.

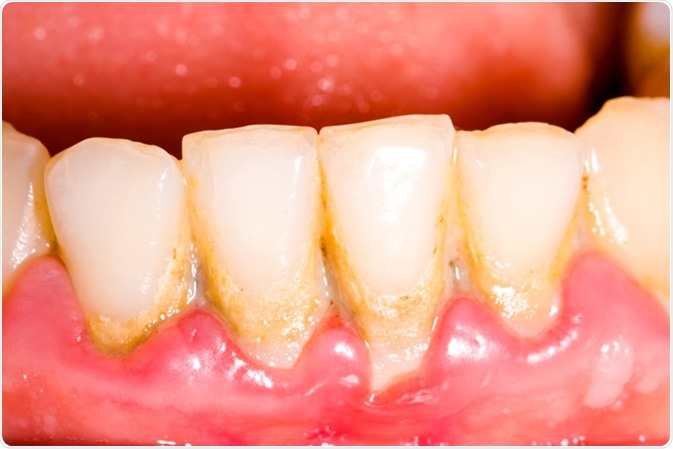
Unhealthy denture, tartar on frontal teeth, plaque and gingivitis. Image Credit: Botazsolti / Shutterstock
Unhealthy denture, tartar on frontal teeth, plaque and gingivitis. Image Credit: Botazsolti / Shutterstock

What is Tartar?

Tartar is also known as plaque and is called dental calculus when it calcifies. It is a layer of sticky film that covers the enamel of your teeth. Tartar is formed when the bacteria present mixes with the proteins and other food particles left in the mouth. Here’s how the process of plaque formation works.

The first layer of acquired pellicle is attached to the teeth, which is a film of salivary proteins. Then a layer of gram-positive facultative cocci covers the pellicle and begin colonizing the surface of the tooth. More forms of bacteria are drawn to the bacteria colony, such as Veillonella, Actinomyces, and Capnocytophaga.

The anaerobic environment is established within three weeks. If the plaque continues to grow undisturbed, the late colonization with Porphyromonas gingivalis, motile rods, and Treponema species happens. The exact composition of the tartar’s microbial population will vary based on the actual oral hygiene practices of the person, the food particles available in the mouth as well as the salivary components excreted.

Common Dental Problems: Tartar (Calculus)

Foods that Help Tartar Formation

Food with high concentration of sugars that are not cleaned off the teeth have the bacteria feeding on them. This is likely to release digestive acids which attack the tooth enamel, which in turn creates the plaque or tartar. This means that candies, ice creams, cakes with frosting are all foods that promote the formation of tartar.

Chocolates, sugary drinks, milk-based drinks with added sugar, fruit juices with sweeteners, pastries, pies, and puddings should all be avoided or eaten in moderation to avoid tartar formation. Other foods with high sugar content such as jams, honey, marmalades, sugary breakfast cereals, sorbets, fruit in syrup, and sweet sauces should also be avoided.

If it is not possible to completely avoid eating such food rich in sugar, it is imperative that the teeth are brushed properly after consuming them. By removing as much of the sugar as possible from the surface of the teeth, it is possible to prevent the formation of tartar which would eventually lead to bad breath, gum disease, tooth decay, and other health issues.

How to Protect Your Teeth from Tartar

Good oral hygiene habits are the only way to protect your teeth from plaque formation and the associated diseases that it brings. Here are some tips on how to maintain a healthy set of teeth and gums.

  • Brush your teeth twice a day with a toothpaste that contains fluoride. The fluoride coating the surface of the teeth acts like a protective shield, preventing the bacteria in the mouth from creating plaque.
  • Brush before you go to sleep. This is important as the bacteria get a clear night’s time to begin colonization and tartar formation. Ensure that you brush all areas of the teeth for a period of two minutes.
  • Use a mouthwash containing fluoride after eating your meals. Even if you do not brush after each meal, simply gargling with the mouthwash removes all extra food particles from the mouth. This will help reduce the germs in the mouth that can form tartar.
  • Use dental floss to clean out the interdental areas. Tartar forming bacteria are often hidden in the area between the teeth and flossing helps to remove them. Learn how to floss your teeth properly without injuring the gums.
  • Ensure healthy eating habits. Eating foods high in sugar and starches all the time will make it easier for the bacteria in your mouth to colonize. Instead eat well-balanced meals with plenty of roughage that helps clean the teeth naturally.
  • Smoking and chewing tobacco is unhealthy for your teeth. The enamel gets stained, the teeth become more susceptible to infections, and the gums will get inflamed more easily. The leaching of the enamel is unhealthy for a smoker.

References

Further Reading

Last Updated: Feb 27, 2019

Cashmere Lashkari

Written by

Cashmere Lashkari

Cashmere graduated from Nowrosjee Wadia College, Pune with distinction in English Honours with Psychology. She went on to gain two post graduations in Public Relations and Human Resource Training and Development. She has worked as a content writer for nearly two decades. Occasionally she conducts workshops for students and adults on persona enhancement, stress management, and law of attraction.

Citations

Please use one of the following formats to cite this article in your essay, paper or report:

  • APA

    Lashkari, Cashmere. (2019, February 27). What is Tartar?. News-Medical. Retrieved on January 16, 2026 from https://appetitesciencelab.com/health/What-is-Tartar.aspx.

  • MLA

    Lashkari, Cashmere. "What is Tartar?". News-Medical. 16 January 2026. <https://appetitesciencelab.com/health/What-is-Tartar.aspx>.

  • Chicago

    Lashkari, Cashmere. "What is Tartar?". News-Medical. https://appetitesciencelab.com/health/What-is-Tartar.aspx. (accessed January 16, 2026).

  • Harvard

    Lashkari, Cashmere. 2019. What is Tartar?. News-Medical, viewed 16 January 2026, https://appetitesciencelab.com/health/What-is-Tartar.aspx.

Comments

The opinions expressed here are the views of the writer and do not necessarily reflect the views and opinions of News Medical.
Post a new comment
Post

While we only use edited and approved content for Azthena answers, it may on occasions provide incorrect responses. Please confirm any data provided with the related suppliers or authors. We do not provide medical advice, if you search for medical information you must always consult a medical professional before acting on any information provided.

Your questions, but not your email details will be shared with OpenAI and retained for 30 days in accordance with their privacy principles.

Please do not ask questions that use sensitive or confidential information.

Read the full Terms & Conditions.