Trichinellosis Epidemiology

The global distribution of certain Trichinella species, coupled with a diversity of hosts and various cultural eating habits that involves raw or undercooked meat, represents a pivotal factor favoring human infection in industrialized and developing countries alike.

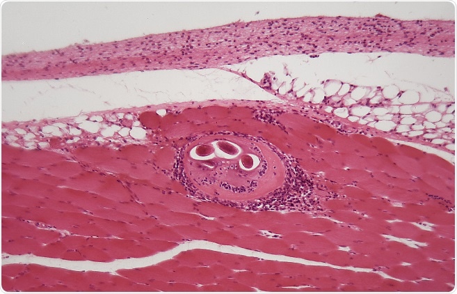
Credit: ChWeiss/ Shutterstock.com

Trichinellosis, a disease caused by a parasitic nematode species of the genus Trichinella, is not only a public health hazard that affects human individuals, but an important economic issue in animal husbandry and food safety. The infection occurs when Trichinella larvae encysted in animal muscle are ingested, which subsequently induces the further development of the parasite.

Species from the Trichinella genus are ubiquitous, probably because many mammal species can sustain the helminths in the sylvatic cycle, but also because reptiles and birds may serve as parasite hosts. Therefore Trichinella-free zones probably do not exist.

 

Transmission to humans

Various species and strains of Trichinella have adapted to infect a large number of wild animals. When they establish naturally in wild animals (such as hyenas), they are referred to as having a sylvatic cycle. On the other hand, when they establish themselves in domesticated animals (such as pigs), it is then referred to as a domestic cycle.

Humans have increasingly encroached into the many sylvatic cycles via hunting of wild animals, their social behavior and through cultural practices associated with food. Furthermore, animal husbandry sets up the domestic cycle that tends to plague human health in the form of smaller or larger outbreaks of trichinellosis.

The species involved in human disease may vary with differences in risk factors and transmission cycles between different areas. Thus, Trichinella spiralis and Trichinella pseudospiralis show a cosmopolitan distribution, while Trichinella nativa is known to circulate in the arctic and sub-arctic areas of North America, Asia and Europe.

Moreover, Trichinella britovi is characteristic for the temperate areas of Europe and Asia, as well as for northern and western Africa. Trichinella nelsoni represents the agent that infects hyenas and large predatory cats in Equatorial Africa. Trichinella murrelli is observed in temperate regions of North America, and Trichinella patagoniensis in Argentina.

 

Global distribution of outbreaks

The prevalence of swine trichinellosis and the rates of human trichinellosis are peaking in developing countries and regions, with pork still being the predominant source of infection (even though wild animal meat is increasing as a globally significant source).

Generally, it is difficult to obtain national prevalence data for trichinellosis, as many outbreaks are considered small in scale – usually because they relate to a particular batch of meat or some unusual event. For example, since 1962 there were 118 outbreaks of the disease in Thailand, involving 5400 patients (95 of whom died). These outbreaks mainly occurred in rural communities following traditional ceremonies where spiced pig meat was served almost raw.

In China, over 500 outbreaks of Trichinella infection have been documented that affected 20 thousand people (with approximately 200 deaths). The sheer number of domestic pigs found in rural Chinese households was always likely to put many individuals at high risk of acquiring trichinellosis.

It can be expected that Trichinella will spread even further due to the illegal importation of meat from countries without adequate veterinary services and public health systems, resulting in lack of proper meat inspection prior to export. Helminthologists who collect material from vertebrates that have had little parasitological attention should ideally sample muscle material as well to screen for trichinellosis.

Further Reading

Last Updated: Dec 29, 2022

Dr. Tomislav Meštrović

Written by

Dr. Tomislav Meštrović

Dr. Tomislav Meštrović is a medical doctor (MD) with a Ph.D. in biomedical and health sciences, specialist in the field of clinical microbiology, and an Assistant Professor at Croatia's youngest university - University North. In addition to his interest in clinical, research and lecturing activities, his immense passion for medical writing and scientific communication goes back to his student days. He enjoys contributing back to the community. In his spare time, Tomislav is a movie buff and an avid traveler.

Citations

Please use one of the following formats to cite this article in your essay, paper or report:

  • APA

    Meštrović, Tomislav. (2022, December 29). Trichinellosis Epidemiology. News-Medical. Retrieved on January 16, 2026 from https://appetitesciencelab.com/health/Trichinellosis-Epidemiology.aspx.

  • MLA

    Meštrović, Tomislav. "Trichinellosis Epidemiology". News-Medical. 16 January 2026. <https://appetitesciencelab.com/health/Trichinellosis-Epidemiology.aspx>.

  • Chicago

    Meštrović, Tomislav. "Trichinellosis Epidemiology". News-Medical. https://appetitesciencelab.com/health/Trichinellosis-Epidemiology.aspx. (accessed January 16, 2026).

  • Harvard

    Meštrović, Tomislav. 2022. Trichinellosis Epidemiology. News-Medical, viewed 16 January 2026, https://appetitesciencelab.com/health/Trichinellosis-Epidemiology.aspx.

Comments

The opinions expressed here are the views of the writer and do not necessarily reflect the views and opinions of News Medical.
Post a new comment
Post

While we only use edited and approved content for Azthena answers, it may on occasions provide incorrect responses. Please confirm any data provided with the related suppliers or authors. We do not provide medical advice, if you search for medical information you must always consult a medical professional before acting on any information provided.

Your questions, but not your email details will be shared with OpenAI and retained for 30 days in accordance with their privacy principles.

Please do not ask questions that use sensitive or confidential information.

Read the full Terms & Conditions.