As a very efficient imaging tool, MRI has proven to serve an important part in the fight against several predominant diseases across the world. However, the complexity and cost of employing traditional MR scanners still restrict their access.

Consequently, over 50% of people in the world do not have access to this possibly life-altering technology, even now. Those who do not have access must often endure long waiting times and travel. If things are to change, we need to rethink MRI.

MAGNETOM Free.Star

MAGNETOM Free.Star represents a disruptively simple approach to MRI that transforms access to high-value care. 

  • That fits everywhere: MAGNETOM Free.Star innovations enhance siting.
  • That is easy to operate: MAGNETOM Free.Star streamlines operations.
  • That users can afford: MAGNETOM Free.Star minimizes complexity and costs dramatically.

MRI MAGNETOM Free.Star

Image Credit: Siemens Healthineers

MRI MAGNETOM Free.Star

Image Credit: Siemens Healthineers

MRI MAGNETOM Free.Star

Image Credit: Siemens Healthineers

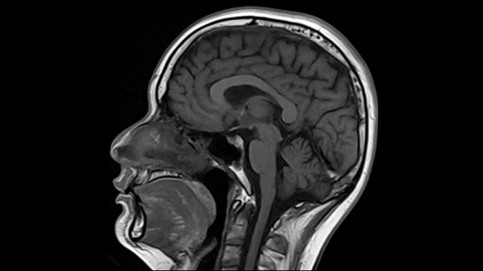
Head

T2 TSE with Deep Resolve

To produce high-resolution images, Deep Resolve, the Al-powered image reconstruction technology gets benefits from intelligent denoising and neural networks.

Deep Resolve Gain & Sharp

0.4 x 0.4 x 5.0 mm2

TA 2:50 min

MAC-ID: 7aaaa0195

MAC-ID: 7aaaa0195. Image Credit: Siemens Healthineers

T1 SE

Outstanding T1 imaging with MAGNETOM Free.Star.

0.4 x 0.4 x 5.0 mm2

TA 2:38 minutes

MAC-ID: 7aaaa0195.

MAC-ID: 7aaaa0195. Image Credit: Siemens Healthineers

T2 TSE Dark Fluid with Deep Resolve

To produce high-resolution images, Deep Resolve, the Al-powered image reconstruction technology gets benefits from intelligent denoising and neural networks.

Deep Resolve Gain & Sharp

0.4 x 0.4 x 5.0 mm2

TA 4:32 min

MAC-ID: 7aaaa0195

MAC-ID: 7aaaa0195. Image Credit: Siemens Healthineers

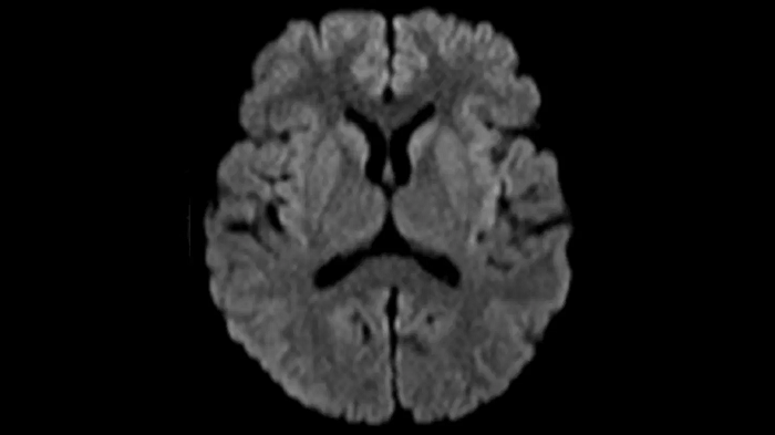
DWI b1000

Exceptional diffusion-weighted imaging with MAGNETOM Free.Star.

PAT 2

0.7 x 0.7 x 5.0 mm2

TA 2:53 minutes

MAC-ID: 7aaaa0195.

MAC-ID: 7aaaa0195. Image Credit: Siemens Healthineers

Time-of-flight angiography

To identify vessel occlusions or aneurysms, non-contrast enhanced angiography of the cranial vessels is supportive. High-resolution ToF angiography can also portray small arteries for delicate diagnoses.

0.4 x 0.4 x 0.5 mm2

TA 5:31 minutes

MAC-ID: 7aaaa0195.

MAC-ID: 7aaaa0195. Image Credit: Siemens Healthineers

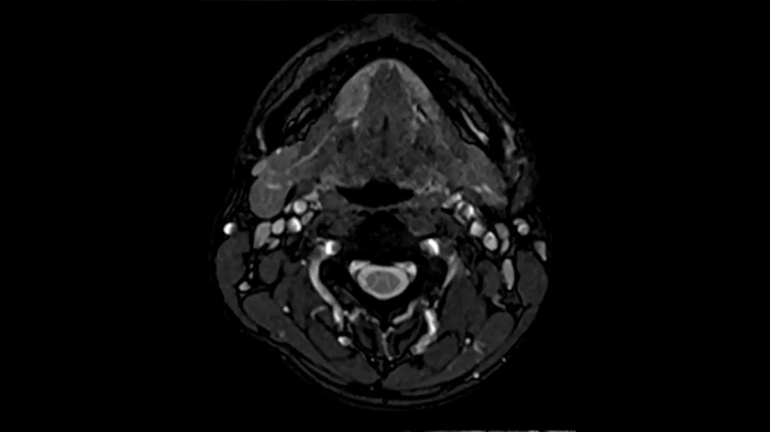
Neck

Excellent soft tissue contrast in the neck

An all-inclusive soft tissue investigation in the head with outstanding image quality for T1, T2, and diffusion contrast.

MAC-ID: 7aaaa0158.

MAC-ID: 7aaaa0158. Image Credit: Siemens Healthineers

Spine

T2 TSE

Exceptional C-Spine images with T2 TSE with the use of the Head/Neck coil.

Deep Resolve Gain & Sharp

0.5 x 0.5 x 3.0 mm2

TA 3:28 minutes

MAC-ID: 7aaaa0164.

MAC-ID: 7aaaa0164. Image Credit: Siemens Healthineers

MEDIC

Outstanding MEDIC imaging with MAGNETOM Free.Star.

0.4 x 0.4 x 3.0 mm2

TA 4:14 minutes

MAC-ID: 7aaaa0164.

MAC-ID: 7aaaa0164. Image Credit: Siemens Healthineers

T2 TSE

Ideal depiction of the lower spine with T2 TSE imaging with the use of the Spine Coil.

Deep Resolve Gain & Sharp

0.4 x 0.4 x 4.0 mm2

TA 3:24 minutes

MAC-ID: 7aaaa0215.

MAC-ID: 7aaaa0215. Image Credit: Siemens Healthineers

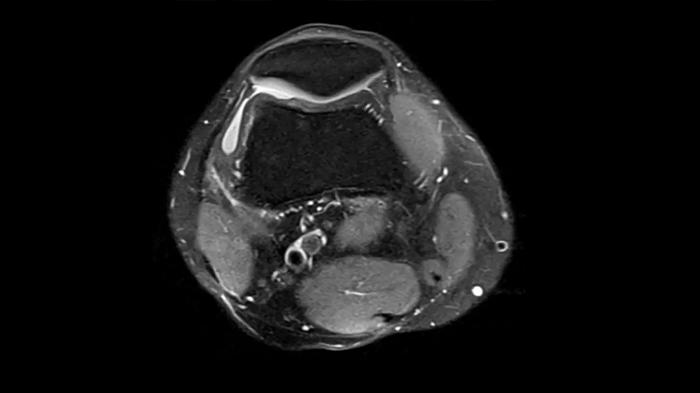
Knee

PD TSE Fat Sat with Deep Resolve and Simultaneous Multi-Slice

For clear imaging of the knee, outstanding fat suppression and performance are possible. Integrating the influence of Deep Resolve with the established Simultaneous Multi-Slice technique.

SMS 2 | Deep Resolve Gain & Sharp

0.4 x 0.4 x 3.0 mm2

TA 2:56 minutes

MAC-ID: 7aaaa0198.

MAC-ID: 7aaaa0198. Image Credit: Siemens Healthineers

PD TSE Fat Sat with Deep Resolve and Simultaneous Multi-Slice

For clear imaging of the knee, brilliant fat suppression and performance are possible. Integrating the influence of Deep Resolve with the proven Simultaneous Multi-Slice technique.

SMS 2 | Deep Resolve Gain & Sharp

0.3 x 0.3 x 3.0 mm2

TA 2:16 minutes

MAC-ID: 7aaaa0198.

MAC-ID: 7aaaa0198. Image Credit: Siemens Healthineers

T1 SE

Outstanding T1 imaging of the knee using MAGNETOM Free.Star.

0.3 x 0.3 x 3.0 mm2

TA 2:54 minutes

MAC-ID: 7aaaa0198.

MAC-ID: 7aaaa0198. Image Credit: Siemens Healthineers

3D MSK Imaging with Compressed Sensing

Knee imaging with T2w SPACE can be expedited using Compressed Sensing to reduce acquisition times, offering high-resolution images for uncompromised knee assessments.

Compressed Sensing 6

0.3 x 0.3 x 0.6 mm2

TA 4:15 minutes

MAC-ID: 7aaaa0175.

MAC-ID: 7aaaa0175. Image Credit: Siemens Healthineers

Shoulder

PD TSE Fat Sat with Deep Resolve and Simultaneous Multi-Slice

Exceptional fat suppression and performance for the shoulder’s clear imaging. Integrating the Deep Resolve’s power with the proven Simultaneous Multi-Slice technique.

SMS 2 | Deep Resolve Gain & Sharp

0.4 x 0.4 x 3.0 mm2

TA 3:20 minutes

MAC-ID: 7aaaa0213.

MAC-ID: 7aaaa0213. Image Credit: Siemens Healthineers

T1 TSE with Deep Resolve and Simultaneous Multi-Slice

Outstanding T1 imaging of the shoulder using MAGNETOM Free.Star. Integrating the Deep Resolve’s power with the proven Simultaneous Multi-Slice technique.

SMS 2 | Deep Resolve Gain & Sharp

0.4 x 0.4 x 3.0 mm2

TA 3:37 minutes

MAC-ID: 7aaaa0213.

MAC-ID: 7aaaa0213. Image Credit: Siemens Healthineers

Elbow

T2 TSE with Deep Resolve

Exceptional performance for small joints owing to Deep Resolve.

Deep Resolve Gain & Sharp

0.3 x 0.3 x 3.0 mm2

TA 2:54 minutes

MAC-ID: 7aaaa0190.

MAC-ID: 7aaaa0190. Image Credit: Siemens Healthineers

T1 TSE with Deep Resolve

Thanks to Simultaneous Multi-Slice and Deep Resolve, an exceptional performance for small joints is possible.

SMS 2 | Deep Resolve Gain & Sharp

0.3 x 0.3 x 3.0 mm2

TA 2:15 minutes

MAC-ID: 7aaaa0190.

MAC-ID: 7aaaa0190. Image Credit: Siemens Healthineers

PD TSE Fat Sat with Deep Resolve

Thanks to Deep Resolve, outstanding performance for small joints is possible.

Deep Resolve Gain & Sharp

0.3 x 0.3 x 3.0 mm2

TA 3:43 minutes

MAC-ID: 7aaaa0190.

MAC-ID: 7aaaa0190. Image Credit: Siemens Healthineers

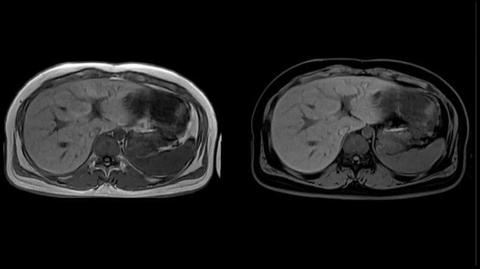
Abdomen

T1 VIBE Dixon with CAIPIRINHA

Get benefitted from Siemens Healthineers dedicated CAIPIRINHA acceleration to gain a complete abdominal volume within a single breath-hold. The Dixon technique offers outstanding fat water separation for a flawless representation of the abdominal anatomy.

MAC-ID: 7aaaa0165.

MAC-ID: 7aaaa0165. Image Credit: Siemens Healthineers

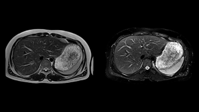
Body diffusion imaging

For all-inclusive abdominal MR capabilities, outstanding quality diffusion imaging.

MAC-ID: 7aaaa0165.

MAC-ID: 7aaaa0165. Image Credit: Siemens Healthineers

T2 BLADE

T2 motion insensitive abdominal imaging with BLADE results in outstanding outcomes, regardless of the orientation or if fat saturation is needed.

MAC-ID: 7aaaa0165.

MAC-ID: 7aaaa0165. Image Credit: Siemens Healthineers

Based on the revolutionary High-V MRI platform, MAGNETOM Free.Star leverages the complete power of digital innovations to produce a cost-effective MRI system that ensures greater access to healthcare.

High-V MRI – Value beyond barriers

Digitalization is quickly revolutionizing MR imaging by implementing highly powerful deep learning-based reconstruction and acquisition techniques.

High-V MRI takes the power of digitalization and implements it to a new field strength of 0.55T with inherent clinical advantages. High-V MRI integrates the best of both worlds to provide a new era in MRI that brings in diagnostic confidence in new clinical opportunities and daily routine.

Fits any location

MAGNETOM Free.Star innovates with simplicity. It is a virtually helium-free scanner with an ultra-compact footprint, which is far simpler and more affordable to site. Due to this special design, it can also be offered as a plug-and-play box solution that removes the requirement for exclusive building infrastructure.

MAGNETOM Free.Star innovates with simplicity. Based on DryCool technology, the MAGNETOM Free.Star is a virtually helium-free scanner that comes with an ultra-compact footprint that is way simpler and more affordable to site.

MRI MAGNETOM Free.Star

Image Credit: Siemens Healthineers

Plug & Play

MAGNETOM Free.Star is also accessible as a turnkey solution in a container, allowing the user to provide MRI independent from their facility's infrastructure.2

Easy to operate

MAGNETOM Free.Star harnesses the strength of the newest digitalization technologies for true push-button operations. Moreover, to give even more people access to MRI, Siemens Healthineers can help the complete diagnostic workflow from scanning to diagnostic reading.

Fully automated scan workflow

myExam Companion

myExam Autopilot intelligently automates MRI. Even amateur users can deliver top-grade outcomes seamlessly in routine MRI scans. As a result, skilled techs can concentrate more on the patient instead of the scanner operation. MyExamAssist and myExam Cockpit complement the scan experience with guidance and flexible protocol customization.

Remote scan support

WeScan3

WeScan3 is a healthcare service that provides remote scanning support for MR imaging. Users can select remote scan coaching for on-the-job learning (Remote Coaching) or request an MRI scan to be performed remotely (Remote Scanning).

MRI MAGNETOM Free.Star

Image Credit: Siemens Healthineers

On-demand diagnostic services

The company supports the complete workflow, from scanning to reading, using remote reading solutions.

MRI MAGNETOM Free.Star

Image Credit: Siemens Healthineers

Affordable

The High-V MRI platform has been developed to integrate advanced technologies for improved access to care. As such, MAGNETOM Free.Star dramatically minimizes the complexity and cost associated with traditional solutions.

Other Equipment by this Supplier

While we only use edited and approved content for Azthena answers, it may on occasions provide incorrect responses. Please confirm any data provided with the related suppliers or authors. We do not provide medical advice, if you search for medical information you must always consult a medical professional before acting on any information provided.

Your questions, but not your email details will be shared with OpenAI and retained for 30 days in accordance with their privacy principles.

Please do not ask questions that use sensitive or confidential information.

Read the full Terms & Conditions.