The MonoRabTM technology from GenScript, a world leader in creating custom mAbs, can produce a large amount of high-quality rabbit mAbs to increase the likelihood of finding the right ones for the particular research application.

GenScript’s sophisticated, proprietary rabbit mAb discovery technology involves the isolation and cloning of rabbit B cells, and it capitalizes on the rabbit’s innate capability to produce high-specificity, high-affinity mAbs against a broad range of challenging targets, including small molecules, Ab drugs, and even non-immunogenic antigens in mice.

How GenScript maximizes success

  • Identifying top mAbs for application by experimenting with them in-house
  • Deliveries with a high clone number and industry-leading processing times
  • Dedicated PhD-level project managers and 24-hour technical assistance

Method

MonoRabTM is a comprehensive antibody generation solution that leverages GenScript’s significant experience in rabbit mAb discovery. GenScript can manufacture many varied, high-affinity rabbit mAbs against the target antigen using their proprietary immunization and B cell cloning technology, with industry-leading turnaround times and extremely competitive pricing.

A novel rabbit MonoRab technology

Image Credit: GenScript

Service details

GenScript provides extensive antigen design and production services in addition to creating a MonoRabTM package that is particularly customized to user requirements.

Table 1. Source: GenScript

Phase Description Timeline Deliverables
I) Animal Immunization 4 rabbits (express or conventional immunization) Express: 5 - 6 weeks
Conventional: 8 - 10 weeks
  • Antiserum report
  • Small-scale pAb purification (optional)
II) B Cell Cloning and Screening 1 round of B cell cloning 3 weeks
  • Positive clones report
  • 1 ml B cell supernatant delivery, up to 50 clones (optional)
Additional screening and increased clone number delivery options available
III) Antibody Sequencing & Small Scale Transfection Sequencing of 5 customer-selected clones, followed by small-scale rAb expression 3 weeks
  • Sequence reports
  • Up to 5 rAb supernatants (2 ml), or purified rAb (0.1 mg)
Additional sequencing and supernatant delivery options available
IV) Recombinant Antibody Production Scalable expression of selected recombinant rabbit mAbs 3 weeks
  • Sequencing report
  • Purified antibody

 

Case studies

Case study: Evaluation of SARS-CoV-2 Spike Protein Extracellular Domain rabbit mAbs generated using MonoRab™

SARS-CoV-2 ECD rabbit mAbs display high affinity

Table 2. Source: GenScript

Antigen Rabbit mAb Clone ID ka (1/Ms) kd (1/s) KD (M)
S-ECD 2F8 2.55E+05 1.00E-06 3.92E-12
S-ECD 3B4 2.46E+05 5.76E-04 2.34E-09
S-ECD 5D10 9.04E+04 1.40E-06 1.54E-11
S-ECD 2F6 1.71E+05 2.84E-05 1.66E-10
S-ECD 3C4 3.31E+04 1.00E-06 3.02E-11

 

A novel rabbit MonoRab technology

Image Credit: GenScript

Epitope binning data additionally shows high rabbit mAb diversity

Table 3. Source: GenScript

# Rabbit mAb Clone ID EC50 (ng/ml) Epitope
1 3B4 1.145 Epitope 6
2 2F6 1.354 Epitope 2
3 5D10 2.198 Epitope 12
4 3D5 2.402 Epitope 7
5 3C4 2.796 Epitope 4
6 2F8 3.029 Epitope 3
7 2G4 4.523 Epitope 5
8 5F7 4.63 Epitope 4
9 5E4 6.144 Epitope 3
10 5H7 6.727 Epitope 13
11 2F12 7.182 Epitope 4
12 3F4 7.723 Epitope 13
13 5A10 8.13 Epitope 14
14 3E5 8.327 Epitope 8
15 5C9 11.873 Epitope 13
16 2.00E+12 12.253 Epitope 1

 

A novel rabbit MonoRab technology

Image Credit: GenScript 

Additional MonoRab™ case studies

A novel rabbit MonoRab technology

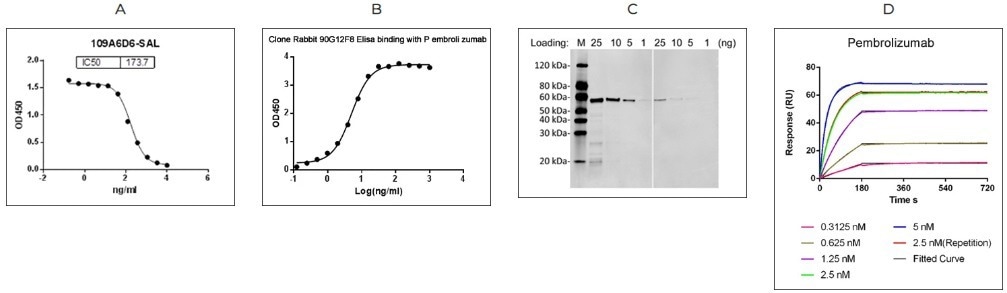
A The cross reactivity rate of GenScript produced anti-Ractopamine (small molecule) rabbit mAb is 0.0304%, showing low cross reactivity rates with similar compounds. B GenScript produced anti-idiotype rabbit mAb 90G12F8 binds with Pembrolizumab (mAb drug) with an EC50 of 5.001 ng/ml as shown via ELISA. C Genscript produced N-Terminal anti-flag-tag rabbit (section 1) mAb shows higher specificity and affinity than those produced in mouse (section 2) as shown via western blot. D GenScript produced anti-idiotype rabbit mAb 90G12F8 has a KD value of 2.3 × 10 -12 M against the antibody drug (Pembrolizumab) as shown via ELISA. Image Credit: GenScript

Resources

Why rabbit?

The superior immune system of rabbits enables them to produce antibodies with more sensitivity, specificity, affinity, and diversity than those produced by more often employed model species.

A novel rabbit MonoRab technology

Image Credit: GenScript

Applications

Basic research

Non-rabbit mAbs frequently fail to identify challenging antigens (Ags), such as small molecules, Ags with post-transcriptionally modified Ags, highly identical epitopes, and Ags with no immunogenicity in mice. They also seem to have rigorous optimization procedures to function in specific applications, which may have an impact on the total efficacy of the experiment and the interpretation of the results.

A novel rabbit MonoRab technology

ELISA. Image Credit: GenScript

A novel rabbit MonoRab technology

Immunohistochemistry (IHC). Image Credit: GenScript

A novel rabbit MonoRab technology

FACS. Image Credit: GenScript

Diagnostics

In vitro diagnostics (IVD): A range of IVD assays, such as ELISA, IHC, and radio immunoassays (RI), are centered on antigen–antibody binding principles. Considering the important role these assays play in patient and animal care, it is vital that IVD assays use the most sensitive and affinity mAbs available.

In vivo imaging: There are several ways to visualize mAbs. However, the most common strategy is to label mAbs with radioactive or fluorescent molecules to trace them in the body and evaluate the results.

A novel rabbit MonoRab technology

In Vitro Diagnostics (IVD). Image Credit: GenScript

A novel rabbit MonoRab technology

In Vivo Imaging. Image Credit: GenScript

Therapeutics

Anti-idiotype antibodies: Pharmacokinetic (PK) assays are employed to assess the distribution, half-life, and rates of absorption and excretion of potential small molecule or mAb therapies.

The results of these assays aid in determining the appropriate dose and the toxicity issues of a therapeutic molecule. As a result, anti-idiotype antibodies must be sensitive enough to detect tiny levels of their antibody target in bodily fluid samples in free, bound, and total forms.

mAb therapeutics: Since an antibody has a high degree of specificity to its target antigen, it decreases both safety and toxicity issues: Extremely specific antibodies limit off-target binding and provide safety. Highly sensitive antibodies necessitate low dosage administration and cause minimal toxicity.

A novel rabbit MonoRab technology

Anti-idiotype Antibody. Image Credit: GenScript

A novel rabbit MonoRab technology

CAR-T mAb Based Therapeutic. Image Credit: GenScript

Content

MonoRab™ upgrade

Introducing the latest state-of-the-art developments to the MonoRab™ rabbit mAb generation platform.

MonoRab™ Upgrade - GenScript

Video Credit: GenScript

Feature in “The Scientist”

Introduction to GenScript’s Premier Rabbit mAb Generation platform.

Supplier Insider: Genscript

Video Credit: GenScript

GenScript webinar

Rabbit monoclonal antibodies in tissue diagnostics.

Webinar - Rabbit Monoclonal Antibodies in Tissue Diagnostics

Video Credit: GenScript

MonoRab B-cell cloning

MonoRab currently employs a novel B cell cloning strategy for antibody development, yielding high affinity, target-specific monoclonal antibodies.

MAb

Video Credit: GenScript

Other Equipment by this Supplier

While we only use edited and approved content for Azthena answers, it may on occasions provide incorrect responses. Please confirm any data provided with the related suppliers or authors. We do not provide medical advice, if you search for medical information you must always consult a medical professional before acting on any information provided.

Your questions, but not your email details will be shared with OpenAI and retained for 30 days in accordance with their privacy principles.

Please do not ask questions that use sensitive or confidential information.

Read the full Terms & Conditions.